Ohrerkrankungen bei Kaninchen sind ein häufiger Vorstellungsgrund in der Kleinsäuger-Praxis. Sie sind leider aber auch oft ein Zufallsbefund bei der klinischen Untersuchung. Otitis bedeutet in den meisten Fällen eine Entzündung einer oder mehrerer Strukturen am Ohr und kann, wie bei Hund und Katze, in Otitis externa, Otitis media und Otitis interna eingeteilt werden.
Ursachen
Das Alter, das Geschlecht oder die Haltungsbedingungen nehmen wenig Einfluss auf die Entstehung einer Otitis, allerdings sind Widderkaninchen besonders oft betroffen. Aufgrund anatomischer Einschränkungen durch die Hängeohren kommt es zu einer Stenose des äußeren Gehörganges und damit zu einer Ansammlung von Zerumen vor dem Trommelfell. Eingeschränkte Belüftung und vermehrte Feuchtigkeit im Ohr begünstigen eine Otitis externa und ggf. Otitis media. Verletzungen, Fremdkörper, Ektoparasiten und aufsteigende Infektionen der Atemwege oder der Zähne sind weitere Gründe für die Entstehung einer Otitis beim Kaninchen.
Symptome
Abhängig von der Ursache werden unterschiedliche Symptome beobachtet.
- Zerumenstau im Außenohr: ggf. reduzierte Aktivität, weniger schreckhaft (durch Dämpfung)
- Otitis externa: Kopfschütteln, Juckreiz am Ohr, Veränderungen der Ohrmuschel (Rötung, Wärme, Auflagerungen, Schwellungen, Blutungen), ggf. aurale Divertikulose (unter der Ohrmuschel), hängendes Ohr (bei Stehohr-Kaninchen)
- Otitis media: ggf. Kopfschiefhaltung, Facialisparese, Horner-Syndrom
- Otitis interna: o. g. Symptome und ggf. Rollen, reduziertes Allgemeinbefinden und reduzierte Futteraufnahme
Diagnostik
Die Ohruntersuchung besteht aus klinischer Untersuchung, Zytologie und ggf. bakteriologischer/ mykologischer Untersuchung des Ohrsekrets (mit Antibiogrammerstellung). Bei V. a. Mittel-/Innenohrbeteiligung sind zusätzlich bildgebende Verfahren (Röntgen, Computertomographie) notwendig. Der Ausschluss anderer systemischer Infektionen erfolgt mit Hilfe einer Blutuntersuchung mit Differentialblutbild und der Antikörper-Bestimmung von Encephalitozoon cuniculi.
Auf Ohruntersuchung, Ohrzytologie und bakteriologische Untersuchung wird im Folgenden genauer eingegangen.
Klinische Untersuchung
Die Ohruntersuchung beginnt mit einer gründlichen Adspektion und Palpation des Außenohres und der Ohrumgebung (Kratzspuren, Verletzung, Divertikel, Hautveränderungen).
Bei Kopfschiefhaltung sollten immer auch Augenlid und Lippen genau untersucht werden. Einseitige Facialisparese (Kontraktion der Oberlippe (Abb. 2), reduzierter Lidschluss und/oder Horner-Syndrom (Miosis, Ptosis, Enopthalmus)) können Hinweis auf eine Beteiligung des Mittel-/Innenohres sein.
Der äußere Gehörgang wird mittels Otoskop/Videoendoskop untersucht. Bei einem gesunden Ohr kann man, durch leichten Zug der Pinna nach oben (Abb. 1), in der Regel bis zum Trommelfell sehen (Abb. 3). Ist Material im Ohrkanal vorhanden, gilt es zu unterscheiden, ob es „nur“ gestautes Zerumen (weiß in Tiefe, gelblich zur Öffnung hin) und der Gehörgang sonst reizlos ist, oder ob Entzündungszeichen (Rötung, Schwellung, Läsionen, Verflüssigung des Sekrets) (Abb. 4) und mögliche Primärursachen wie Fremdkörper und/oder Ektoparasiten vorhanden sind. Bei der Unterscheidung hilft die Zytologie.
Probenentnahme
Für die korrekte Probenentnahme sind ein Otoskoptrichter, dünne Tupfer (mit Medium), Objektträger und Deckgläser erforderlich. Die Probenentnahme aus dem äußeren Gehörgang erfolgt i. d. R. am unsedierten Kaninchen (aus dem Mittelohr intra OP). Das Einwickeln des Tieres in ein Handtuch („Wrappen“) hilft Abwehrbewegungen zu vermeiden (Abb. 1).
Um eine möglichst tiefe Probenentnahme zu gewährleisten, wird der Tupfer vorsichtig durch den Otoskoptrichter bis kurz vor das Trommelfell geschoben und leicht gedreht. Danach wird er für die Zytologie auf ein bis zwei Objektträgern ausgestrichen und dann für eine ggf. spätere kulturelle Anzucht in das zugehörige Mediumröhrchen verbracht. Die Lagerung der Tupferproben erfolgt bei Raumtemperatur oder über 24 Stunden im Kühlschrank (Versand ohne Kühlung).
Es ist immer sinnvoll beide Ohren zu beproben (ggf. auf einem Objektträger nebeneinander ausstreichen) (Abb. 5), auch oder gerade, wenn nur ein Ohr betroffen ist, um einen Eindruck vom normalen Ohrmikrobiom des Patienten zu erhalten.
Ohrzytologie
Die Zytologie gibt wichtige Hinweise auf die Zusammensetzung des Sekretes (Zerumen oder Eiter) und mögliche Primärursachen wie Ektoparasiten, Hefen und/oder vermehrter Anzahl an Bakterien. Für ein zytologisches Präparat wird der entnommene Tupfer dünn auf zwei Objektträgern ausgerollt. Ein Objektträger wird, nach Lufttrocknung, nativ mikroskopisch (Kondensor unten, Blende zu, 100 – 400fache Vergrößerung) auf Ektoparasiten durchmustert. Der zweite Objektträger wird z. B. mit Diff-Quick® gefärbt und nach Lufttrocknung ebenfalls durchgemustert (100 – 400fach, 1000fach mit Öl, Kondensor oben, Blende auf).
Die Zytologie gibt erste Informationen über die Art des Sekrets: ungefärbtes Zerumen (Abb. 6) oder deutlich gefärbtes mit DNA-Schlieren (Kern-Reste von neutrophilen Granulozyten und Keratinozyten) und Bakterien oder Hefen durchzogenen Eiter (Abb. 7). Die Menge an Bakterien (Kokken, Stäbchen) und Hefen (Malassezien) kann ebenfalls beurteilt werden. Eine vermehrte Anzahl von DNA-Schlieren und Bakterien oder Malassezien im gesamten Präparat ist beweisend für ein entzündliches Geschehen. Bakterien (immer gleich groß und geformt) sollten hierbei nicht mit Färbeartefakten verwechselt werden. Intakte neutrophile Granulozyten sind im Kaninchenohrpräparat nur wenige zu finden.
Malassezien (Malassezia cuniculi) sind bei Kaninchen rund, unterschiedlich groß, teilweise in Sprossung und tief blau gefärbt (Abb. 8).
Die zytologische Untersuchung sollte erstmals vor Therapiebeginn und dann zur Therapiekontrolle durchgeführt werden. Am Tag der Kontrolle sollte kein Mittel mehr in den Gehörgang gegeben werden.
-
Abb. 1: Untersuchung des äußeren Gehörgangs beim Kaninchen mittels Otoskop
Bildquelle: J. Hein
-
Abb. 2: Facialisparese mit rechtsseitig kontrahierter Oberlippe bei einem Widderkaninchen
Bildquelle: J. Hein
-
Abb. 3: Blick auf das Trommelfell (Pars tensa – durchsichtig, Pars flacida – geweblich) eines Kaninchens
Bildquelle: J. Hein
-
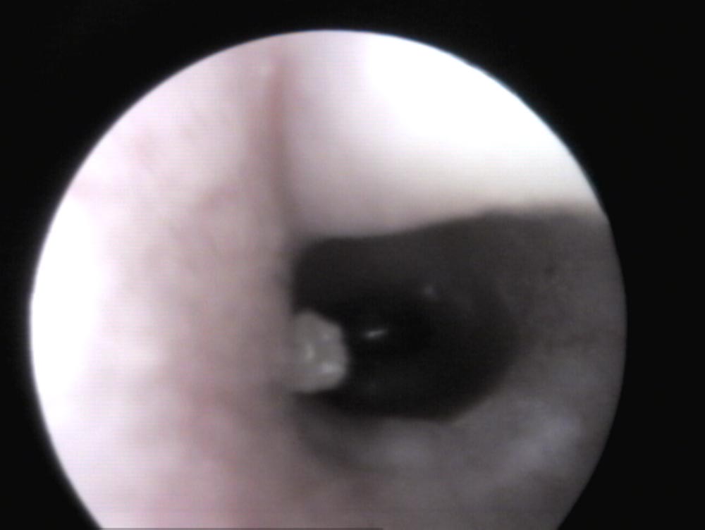
Abb. 4: Blick in ein mit Eiter gefülltes Außenohr eines Kaninchens – das sonst reizlose Außenohr spricht für die Herkunft des Eiters aus dem Mittelohr
Bildquelle: J. Hein
-
Abb. 5: Diff-Quick® gefärbter Objektträger mit Ausstrichen von Tupfern aus dem rechten (R) und linken (L) Ohr eines Kaninchens
Bildquelle: J. Hein
-
Abb. 6: Mikroskopisches Bild eines Ohrabstrichs eines Kaninchens mit Otitis externa mit deutlich gefärbten DNA-Schlieren, Keratinozyten und vereinzelt neutrophilen Granulozyten und Kokken (Vergr. 100fach, Diff-Quick®)
Bildquelle: J. Hein
-
Abb. 7: Mikroskopisches Bild eines Ohrabstrichs eines Kaninchens mit Otitis externa mit deutlich gefärbten DNA-Schlieren, Keratinozyten und vereinzelt neutrophilen Granulozyten und Kokken (Vergr. 100fach, Diff-Quick®)
Bildquelle: J. Hein
-
Abb. 8: Mikroskopisches Bild eines Ohrabstrichs eines Kaninchens mit Hefen-Otitis mit zahlreichen, tiefblau gefärbten, runden Malassezia cuniculi. Das Zerumen nimmt kaum Farbstoff an (Vergr. 100fach, Diff-Quick®)
Bildquelle: J. Hein
Kulturelle Untersuchung
Für die bakteriologische Untersuchung (BU) werden die Tupfer im Labor auf Columbia-Blut-Agar und Endo-Agar ausgestrichen und danach in eine Anreicherungsbouillon verbracht. Die Platten werden aerob bei 36 ± 1 °C bebrütet und nach 16 – 24 und 48 Stunden auf Bakterienwachstum überprüft. Die Anreicherungsbouillon wird nach 16 – 24 h Bebrütung bei 36 ± 1 °C ebenfalls auf Columbia-Blut-Agar und Endo-Agar ausgestrichen und für weitere 16 – 24 Stunden aerob bei 36 ± 1 °C bebrütet. Gewachsene Bakterienkolonien werden visuell oder mit dem MALDI-TOF-Verfahren identifiziert bzw. differenziert.
Für die mykologische Untersuchung werden die Tupfer zusätzlich auf Pilz-Selektiv-Agar ausgestrichen. Hier erfolgt die Bebrütung bei 36 ± 1 °C bis zu 7 Tagen. Gewachsene Pilze werden entweder makroskopisch, mikroskopisch oder mittels MALDI-TOF-Verfahren differenziert.
Ohrmikrobiom
Das Mittelohr ist im intakten Zustand keimfrei. Das Außenohr enthält auch im gesunden Zustand eine geringe Anzahl an gemischter Flora, die Bestandteil des physiologischen Hautmikrobioms ist. Hierzu gehören Staphylococcus (S.) aureus, Streptococcus spp., Enterococcus spp., Bacillus spp. und einzelne Malassezia spp. (Reuschel 2018, Galuppi et al. 2020). Verändert sich das Milieu und kommt es zu pathologischen Veränderungen nimmt v. a. die Anzahl der gramnegativen Erreger und die der Anaerobier zu. In zwei aktuellen, deutschen Studien wurden bis zu 55 Bakterienspezies aus 12 Familien (Hein et al. 2021) isoliert, wobei S. aureus (30 %) am häufigsten nachgewiesen wurde, gefolgt von Pseudomonas aeroginosa, Pasteurella multocida, Enterobacter cloacae, E. coli, S. haemolyticus, Klebsiella oxytoca und Pasteurella spp. (Reuschel 2018, Hein et al. 2021).
Bis zu 50 % der Ohr-BUs sind trotz makroskopischem Befund negativ (Reuschel 2018, Hein et al. 2021), entweder wegen oberflächlicher Probenentnahme im Eiter oder Vorbehandlung. Die letzte Medikamentengabe (auch Ohrreiniger und systemische Antibiotika) sollte daher idealerweise mindestens 5 Tage her sein.
Voraussetzung für eine erfolgreiche Anzucht und einen aussagekräftigen Befund, ist die möglichst kontaminationsfreie, tiefe Probeentnahme vor Therapiebeginn.
Fazit
Tiefgreifende Otitiden können durch frühzeitiges Erkennen und zielgerichtete Behandlung oft verhindert werden. Ohruntersuchung und Zytologie sind der erste Schritt dazu.
Dr. Corinna Hader, Dr. Jutta Hein
Unsere Leistungen zum Thema im Überblick
- #174 Ektoparasiten (mikroskopisch)
- #204 Zytologie
- #150 Bakteriologie (aerob)
- #1061 Bakteriologie (aerob + anaerob)
- #156 Bakteriologie + Mykologie
- #725 + ggf. Antibiogramm
- #1175 Bakteriologie + Mykologie + Ektoparasiten (mikroskopisch, kulturell, bakteriologisch + mykologisch)
- #725 + ggf. Antibiogramm
Weiterführende Literatur
-
Reuschel M. Untersuchungen zur Bildgebung des Kaninchenohres mit besonderer Berücksichtigung der Diagnostik einer Otitis bei unterschiedlichen Kaninchenrassen [Dissertation]; Hannover: Stiftung Tierärztliche Hochschule Hannover; 2018.
-
Hein J, Maier H, Meyer C. Kaninchenohren – Keimspektrum und Resistenzverhalten der häufigsten Erreger 2015 – 2019. [Poster] 3. Augsburger Thementage der DGK-DVG, online; 22.-24.01.2021. Abstract Kleintierpraxis 2021;4(66):243-247.
-
Galuppi R, Morandi B, Agostini S, Dalla Torre S, Caffara M. Survey on the Presence of Malassezia spp. in Healthy Rabbit Ear Canals. Pathogens. 2020 Aug 25;9(9):696. doi: 10.3390/pathogens9090696.











