Persistierender oder intermittierender Nasenausfluss (NAF) bei Hund und Katze ist ein häufiges Symptom, das auf eine ernsthafte zugrunde liegende Ursache hindeuten kann. Die Qualität des Nasenausflusses (serös, purulent, blutig) oder die Lokalisation des Ausflusses (ein- oder beidseitig) grenzt dabei nur bedingt die Liste der Differenzialdiagnosen ein. Es erfordert meist eine umfangreiche, stufenweise diagnostische Aufarbeitung.
Ursachen
Zu den häufigsten Ursachen chronischen NAF beim Kleintier gehören neben möglichen Infektionen, Raumforderungen in der Nasenhöhle, Fremdkörper oder Fremdmaterial, oronasale Defekte, Zahnpathologien sowie die idiopathische Rhinitis (IR).
Zudem können auch systemische Erkrankungen zu NAF führen, wie beispielsweise Endokrinopathien, systemische Infektionen (z. B. Leishmaniose, Ehrlichiose, Rickettsiose, Bartonellose) und Anämien/ Hämopathien/Koagulopathien. Tabelle 1 zeigt eine Übersicht über die häufigsten Erkrankungen, die mit NAF assoziiert sein können.
Tabelle 1: Häufigste Erkrankungen assoziiert mit chronisch-persistierendem oder intermittierendem NAF
| Primär nasale Erkrankungen | Extranasale Erkrankungen |
| nasale Neoplasien und nicht-neoplastische Umfangsvermehrungen | oronasale Defekte |
| Infektionen wie sinonasale Aspergillose, sinoorbitale Aspergillose, nasale Kryptokokkose | Zahnpathologien |
| intranasale Fremdkörper oder Fremdmaterial | Endokrinopathien Koagulopathien |
| chronische idiopathische Rhinitis (IR) | systemische Infektionen wie Anaplasmose, Leishmaniose, Bartonellose, Rickettsiose, Ehrlichiose FIV-, FeLV-Infektionen |
-
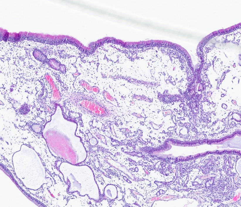
Abb. 1: Histologie eines nasalen Polypen eines Hundes, 4er Vergrößerung, HE-Färbung
Bildquelle: Laboklin
-
Abb. 2: Rhinoskopisches Bild eines mykotischen Plaques eines Hundes
Bildquelle: Tierklinik Germersheim
-
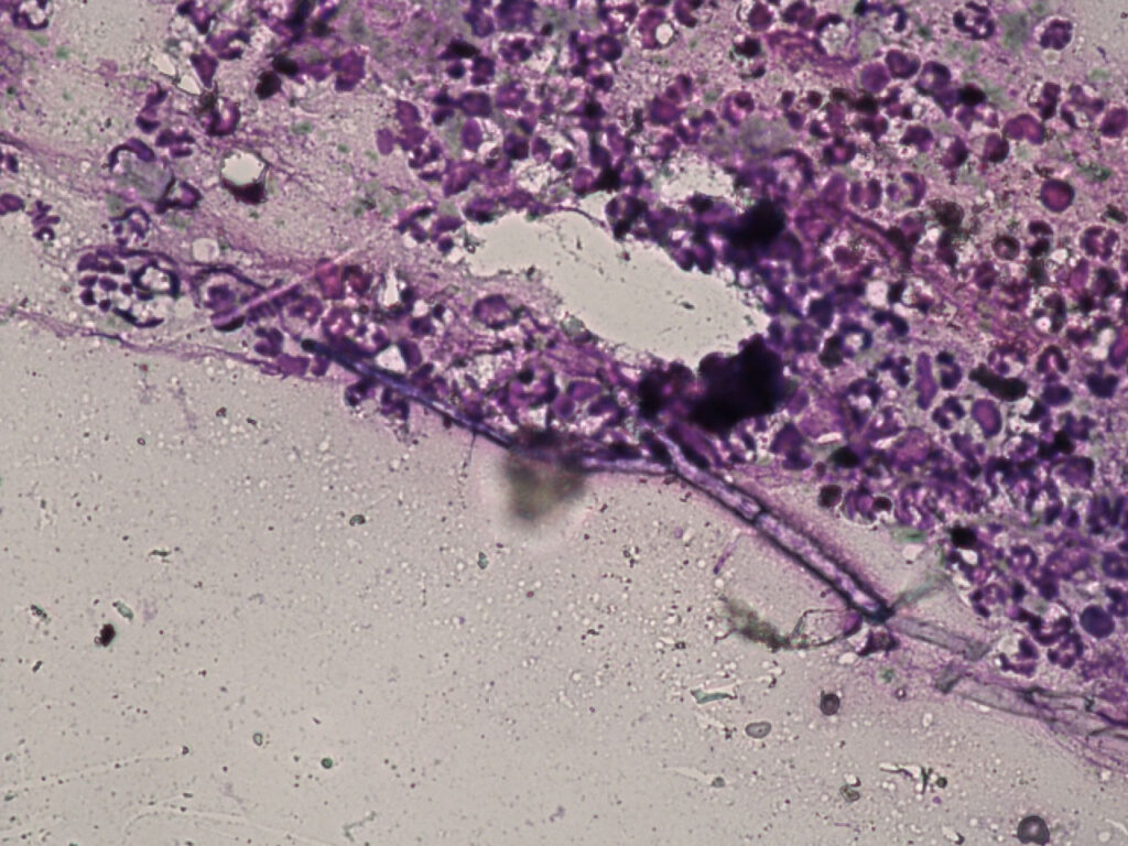
Abb. 3: Zytologie eines Ausstriches aus der Nasenhöhle eines Hundes zeigt Pilzhyphen, 40er Vergrößerung
Bildquelle: Laboklin
Im Folgenden werden die häufigsten primären nasalen Erkrankungen näher beschrieben.
Raumfordernde Prozesse in der Nasenhöhle
Sowohl maligne als auch nicht-neoplastische raumfordernde Prozesse können die Nasenhöhle betreffen. Unabhängig der Entität können diese Prozesse mit ein- oder beidseitigem NAF unterschiedlicher Qualität (serös bis blutig), Stridor, Niesen und bei größeren Umfangsvermehrungen auch mit Deformationen des Schädels assoziiert sein. Alle gehen mit sekundären, chronischen Entzündungen einher.
Nicht-neoplastische nasale Umfangsvermehrungen
Nasale Polypen (NP) und Hamartome zeigen sich in radiologischen Aufnahmen als weichteildichte Umfangsvermehrung, wobei makroskopisch eine Unterscheidung zwischen einem nicht-neoplastischen Prozess und einer benignen oder malignen Neoplasie nicht sicher möglich ist.
Zudem sind bei der Katze nasopharyngeale Polypen mit Entstehung im Pharynxbereich, in der Tuba auditiva oder der Bulla tympanica als eigenständige Entität beschrieben. Die genaue Pathogenese ist bei beiden unklar. Nasale und nasopharyngeale Polypen sind exophytische Proliferationen stark ödematisierten und teils myxoiden, fibrovaskulären Stromas, bedeckt von gut differenziertem respiratorischem Epithel (Abb. 1). Einzelne Drüsen und Lymphgefäße im Stroma sind häufig dilatiert. Sie sind mit turbinaler Destruktion assoziiert und Rezidive sind möglich.
Nasale Neoplasien
Der überwiegende Anteil der nasalen Neoplasien ist maligne. Unabhängig von der Histogenese, wachsen sie relativ langsam, gehen mit hochgradiger Destruktion der anatomischen Strukturen und sekundären Entzündungen einher. Metastasierungen (in die regionären Lymphknoten und die Lunge) treten meist spät auf und sind zum Zeitpunkt der Diagnosestellung häufig noch nicht vorhanden.
Bei Hund und Katze gleichermaßen scheinen epitheliale Tumore häufiger aufzutreten als nicht-epitheliale Tumore, davon am häufigsten Adenokarzinome ausgehend vom respiratorischen, olfaktorischen Epithel oder Drüsenepithel, Übergangszellkarzinome oder Plattenepithelkarzinome.
Bei nicht-epithelialen Tumoren zeigen sich unter-schiedliche Prävalenzen bei Hund und Katze. Wäh-end bei der Katze nasale Lymphome gefolgt von Fibrosarkomen die häufigsten Tumoren nach Karzinomen darstellen, kommen beim Hund Chondrosarkome als häufigste nicht-epitheliale Tumoren vor.
Infektiöse Ursachen von chronischem NAF
Bakterielle Rhinitis
Chronische bakterielle Rhinitiden bei Hund und Katze kommen in der Regel sekundär zu anderen Nasenerkrankungen vor. Eine primäre bakterielle Rhinitis ist nach aktueller Literatur sehr selten.
Bei Hunden wird Bordetella bronchiseptica als möglicher primärer Erreger diskutiert.
Weitaus häufiger liegt eine chronische Rhinitis vor, bei der Bakterien als sekundäre, opportunistische Keime auf bereits geschädigter Nasenschleimhaut proliferieren. Zu den häufigsten Grunderkrankungen gehören die IR, nasale Neoplasien und nasale Mykosen. Auch im Rahmen oronasaler Defekte, nasaler Fremdkörper und Zahnpathologien können sekundäre bakterielle Infektionen der Nasenschleimhaut entstehen.
Bei Katzen können Schädigungen des respiratorischen Epithels nach akuten Infektionen mit dem felinen Herpesvirus 1 oder Calicivirus zu chronisch-rezidivierenden bakteriellen Rhinitiden führen.
Eine Bakterienkultur mit Leitkeimbestimmung und Antibiogramm ist in chronischen und chronisch-rezidivierenden Fällen zu empfehlen.
Nasale Mykosen
Mykotische Rhinitiden bei Hund und Katze sind seltene, aber klar definierte Krankheitsbilder, bei denen vor allem Aspergillus-Infektionen im Vordergrund stehen, daneben kommen jedoch weitere Schimmel- und Hefepilze vor.
Im Gegensatz zu anderen Mykosen, bei denen immunsuppressive Mechanismen die Wegbereiter für mykotische Infektionen sind, kommen nasale Mykosen bei immunkompetenten Tieren vor.
Die canine und feline sinonasale Aspergillose (SNA) ist die häufigste Form der mykotischen Rhinitis, wobei Katzen seltener betroffen sind als Hunde. Sie geht mit hochgradiger Destruktion der Conchen und Turbinalien einher. Endoskopisch finden sich gelbliche Pilzplaques und Granulome (Abb. 2). Beim Hund können zusätzlich die Stirnhöhlen betroffen sein. Ätiologisch finden sich in den meisten Fällen Infektionen mit Aspergillus fumigatus.
Eine invasive granulomatöse Form bei der Katze ist die sinoorbitale Aspergillose, bei der sich die Infektion von der Nasen-/Sinushöhle in Orbita und um-liegende Gewebe ausbreitet. Klinisch treten neben chronischer Rhinitis Exophthalmus, Orbitalschmerz und neurologische oder faziale Veränderungen auf.
Eine weitere, durch Hefeinfektion ausgelöste Entität ist die nasale oder nasopharyngeale Kryptokokkose, die bei der Katze und seltener beim Hund vorkommt. Während bei der Katze besonders nasale bis nasopharyngeale Massen ohne knöcherne Destruktion auffällig sind, können beim Hund Conchenlysen auftreten.
Zur Unterscheidung und zum Erregernachweis eignen sich die Histologie und Erregerkultur. Serologische Untersuchungen eignen sich zur Therapie- und Verlaufskontrolle.
Chronische Rhinitis unklarer Ursache/ idiopathische Rhinitis (IR)
Neben nasalen Neoplasien und der SNA ist die idiopathische Rhinitis die häufigste Diagnose bei chronischem NAF, insbesondere beim Hund. Sie ist eine Ausschlussdiagnose, die eine Abklärung aller anderen möglichen nasalen und auch systemischen Ursachen erfordert.
Die IR zeigt keine Rassen- oder Geschlechtsdisposition, scheint jedoch eher größere, überwiegend normozephale Hunderassen zu betreffen.
Die Pathogenese der IR ist nach wie vor nicht aufgeklärt und es werden verschiedene Pathomechanismen oder ätiologische Auslöser wie primäre und sekundäre infektiöse Noxen diskutiert. Es wird diskutiert, dass die IR auch auf multifaktorielle Ätiologien zurückzuführen sein könnte und sich von Patient zu Patient unterscheiden kann. Zudem gibt es Untersuchungen zu immunmediierten Mechanismen und Hypersensitivitätsreaktionen, die eine partielle TH2-Immunantwort zeigen, was für eine mögliche allergische Basis sprechen kann. Ein einschlägiger Beweis für die Existenz einer allergischen Rhinitis beim Hund, wie sie beim Menschen bekannt ist, fehlt bislang. In dem Zusammenhang wird in der Literatur beschrieben, dass Hunde mit IR, auch bei Beteiligung von Eosinophilen im Zellbild, lediglich ein schwaches und inkonsistentes Ansprechen auf Antihistaminika und Glukokortikoide zeigen.
Die histopathologischen Befunde bei IR umfassen ein von Lymphozyten und Plasmazellen dominiertes, häufig von neutrophilen Granulozyten und seltener eosinophilen Granulozyten begleitetes Entzündungszellinfiltrat. Besonders in der englischsprachigen Literatur wird aufgrund der Dominanz von Lymphozyten und Plasmazellen die Bezeichnung lymphoplasmazelluläre Rhinitis (LPR) oder idiopathische lymphoplasmazelluläre Rhinitis synonym verwendet. Erosionen, Ulzerationen, Blutungen sowie Conchenatrophien werden auch im Zusammenhang mit der IR beobachtet.
Die histopathologischen Veränderungen können bei der IR in variierender Ausprägung einseitig oder beidseitig auftreten. Die Entzündungszellinfiltrate sind allerdings unspezifisch und Rückschlüsse auf eine Ätiologie sind nicht möglich. Vergleichbare Entzündungs- und Gewebereaktionen können auch im Rahmen oronasaler Defekte oder Rhinitiden sekundär zu Odontopathien auftreten.
Diagnostik chronischer Nasenerkrankungen
Die Aufarbeitung chronischer Nasenerkrankungen ist ein stufenweiser Prozess. Dieser umfasst die klinische Untersuchung, Bildgebung möglichst mittels CT oder MRT, Rhinoskopie sowie Biopsieentnahme unter Sichtkontrolle mit sich anschließender histopathologischer und/oder zytologischer Untersuchung und gegebenenfalls einer weiterführenden kulturellen Mikrobiologie und Mykologie, serologische Untersuchungen auf Antigene oder Antikörper und/oder Erregernachweis per PCR.
Im Folgenden wird genauer auf die diagnostischen Schritte eingegangen.
Klinische Untersuchung
Bei der äußeren Begutachtung können Depigmentierungen des Nasenspiegels, Entzündungen der umgebenden Haut, Krusten, Hyperkeratose sowie Asymmetrien oder Schwellungen auffallen. Weitere respiratorische Symptome wie Stridor, Niesen und Rückwärtsniesen können chronischen NAF begleiten.
Zudem sollte eine Maulhöhlenuntersuchung erfolgen, um Anzeichen von Zahnpathologien und Entzündungen abzuklären. Jedoch auch bei negativen Befunden der Maulhöhle sind zu diesem Zeitpunkt Zahnprobleme (oronasale Fisteln) als Ursache nicht ausgeschlossen.
Bildgebung
Essentiell in der Diagnostik chronischer Nasenerkrankungen ist die Bildgebung, insbesondere mittels CT oder MRT. Das klassische Röntgen ist aufgrund von Knochenüberlagerungen nur eingeschränkt geeignet zur Beurteilung des Schädels, der Turbinalien und der Conchien. Oronasale Defekte und Zahnpathologien sowie raumfordernde Prozesse lassen sich nicht sicher beurteilen.
MRT/CT vor einer Endoskopie ist angeraten, da bei endoskopischer Untersuchung nicht alle Areale erfasst werden können. Zudem können sekundäre Läsionen durch die Endoskopie verursacht werden, die eine Interpretation radiologischer Aufnahmen im Anschluss an eine Endoskopie unsicher machen.
Rhinoskopie
Eine endoskopische Untersuchung sollte sowohl rostral über die Nasengänge als auch pharyngeal (retrograd) über die Choanen erfolgen. Fremdkörper/Fremdmaterialien oder mykotische Plaques können visualisiert und entfernt werden. Zudem ist hierbei eine Probenentnahme der nasalen Schleimhaut unter Sicht möglich. Bei Blindbiopsien besteht das Risiko, relevante Läsionen nicht zu erfassen und gegebenenfalls nicht repräsentative Areale zu bioptieren.
Histopathologische und zytologische Untersuchung
Für die Histopathologie empfiehlt es sich grundsätzlich, mehrere Proben aus beiden Nasenhöhlen zu entnehmen, auch wenn nur unilaterale, fokale Veränderungen festgestellt werden. Insbesondere bei raumfordernden Prozessen ist eine sichere Diagnosestellung nur mittels histopathologischer Untersuchung geeigneter und repräsentativer Gewebebiopsien möglich. Geeignet sind 3–4 Kernbiopsien der Primärläsion. Zu kleines oder zu wenig Gewebe erhöht das Risiko, die Läsion nicht zu erfassen, was zu falsch-negativen Ergebnissen führen kann.
In manchen Fällen sind zytologische Präparate für eine erste Einschätzung geeignet. Bei nasalen Mykosen und bei Neoplasien können zytologische Ausstriche aus repräsentativen Arealen für eine Diagnosestellung ausreichend sein (Abb. 3). Es ist jedoch zu beachten, dass bei negativen Befunden kein Ausschluss dieser Differenzialdiagnosen möglich ist. Für die Bestimmung der Tumorentität ist eine histologische Untersuchung unabdingbar.
Weiterführende Erregerdiagnostik
In Einzelfällen sind bakteriologische und mykologische Untersuchungen indiziert. Weitere Informationen zu den einzelnen Leistungen finden Sie im aktuellen Laboklin Kompendium.
Fazit
Chronischer NAF ist ein ernst zu nehmendes Symptom und umfasst ein breites Spektrum an Differenzialdiagnosen. Eine stufenweise, umfangreiche Diagnostik ist daher erforderlich.
Dr. med. vet. Sandra Franke
Leistungen zum Thema
- Histologie
- Histologie mit erhöhtem Aufwand
- Zytologie
- Zytologie mit erhöhtem Aufwand
- Bakteriologie und Mykologie






