Zum Inhalt springen
Login Mein LABOR
  • Deutsch
    • Österreich
    • Schweiz
    • Schweiz französisch
    • Schweiz italienisch
    • Englisch
    • Dänemark
    • Tschechien
    • Niederlande
    • Finnland
    • Frankreich
    • Italien
    • Norwegen
    • Polen
    • Slowakei
    • Spanien
    • Schweden
+49 971 7202 0Steubenstr. 4 | DE - 97688 Bad Kissingeninfo@laboklin.com
Facebook page opens in new windowYouTube page opens in new windowInstagram page opens in new windowLinkedin page opens in new window
Search:
Suchen...
LABOKLIN Bad Kissingen
Labor für klinische Diagnostik in Bad Kissingen
LABOKLIN Bad KissingenLABOKLIN Bad Kissingen
  • Start
  • Leistungen
    • Profile
      • Profile/Screenings – Kleintiere
      • Profile/Screenings – Kleinsäuger, Vögel, Reptilien, Fische
      • Profile/Screenings – Pferd
      • Profile/Screenings – Wiederkäuer
      • Profile – Lama, Alpaka
      • Profile/Screenings – Schwein
      • Profile – Hygiene
    • Hämatologie, klin. Chemie, Endokrinologie
      • Hämatologie
      • Klinisch-chemische Parameter
      • Harnanalyse
      • Immunologische Untersuchungen / Entzündungsparameter
      • Endokrinologie / Tumormarker
      • Funktionstests / Berechnungsformeln
    • Vitamine, Medikamentenspiegel, Vergiftungen
      • Vitamine
      • Medikamentenspiegel
      • Vergiftungsnachweis
    • Allergie
      • Allergiediagnostik
      • Allergen-spezifische Immuntherapie (ASIT)
    • Infektionskrankheiten:
      Erreger- und Antikörpernachweise
      • Viren
      • Bakterien
      • Pilze
      • Parasiten
    • Mikrobiologie / Parasitologie
      • Bakteriologie / Mykologie
      • Parasitologie
      • Untersuchungen bei Verdauungsstörungen und Diarrhöe
      • Autovakzine / bestandsspezifische Vakzine
    • Pathologie
      • Pathohistologie
      • Immunhistologie
      • Zytologie
      • Lymphozyten-Klonalität
      • Tumorgenetische Tests
    • Genetik
      • Erbkrankheiten
      • Genetikpakete
      • Performance
      • Fellfarbe / Haarstruktur
      • Identität / Abstammung
      • Rassezuordnung
      • Erbgänge
      • Molekularbiologische Tierartendifferenzierung
      • Geschlechtsbestimmung
    • Hygieneuntersuchungen
      • Profile
      • Einzeluntersuchungen
    • Desinfektionsmittelprüfungen
    • Wasseruntersuchungen
      • Trinkwasser
      • Tränkwasser
      • Aquarien-/Teichwasser
    • Abkürzungen / Hinweise zu den Testbeschreibungen
  • Fachinformationen
    • Info-Broschüren
    • Folder Rat & Tat
    • Poster
    • Kompendium / Leistungsverzeichnisse
    • FAQ
    • Präanalytik
    • Allergie / Dermatologie
    • Antibiose / Resistenzen
    • Bildergalerie
    • Publikationen Deutsch
    • Publikationen Englisch
    • Bestellungen: Bücher
    • Video-Tutorials
    • Referenzwerte
    • SI-Rechner
  • Infothek
    • LABOKLIN aktuell
    • LABOKLIN aktuell Pferd
    • LABOKLIN aktuell Vögel/Reptilien
    • LABOKLIN aktuell Dermatologie
    • LABOKLIN FürSieGelesen
    • LABOKLIN LABO-Talk
    • Tiermedizin trifft Genetik
  • Laboklin
    • Akkreditierung
    • Geschichte
    • Pressespiegel
    • Blick ins Labor
  • Karriere
    • Offene Stellen
    • Einstiegsmöglichkeiten
      • Unser Angebot für Berufseinsteiger und Berufserfahrene
      • Unser Angebot für Schüler
      • Unser Angebot für Studierende
      • Unser Ausbildungsangebot
    • Wir als Arbeitgeber
      • Ihr Arbeitsplatz
      • Unsere Mitarbeiter-Benefits
      • Der Standort Bad Kissingen
    • Rund um die Bewerbung
    • Datenschutzhinweise im Bewerbungsverfahren
  • Kontakt
    • Ansprechpartner
  • Akademie
    • Seminare/Fortbildungen DE
    • Web-/Seminare AT
  • Start
  • Leistungen
    • Profile
      • Profile/Screenings – Kleintiere
      • Profile/Screenings – Kleinsäuger, Vögel, Reptilien, Fische
      • Profile/Screenings – Pferd
      • Profile/Screenings – Wiederkäuer
      • Profile – Lama, Alpaka
      • Profile/Screenings – Schwein
      • Profile – Hygiene
    • Hämatologie, klin. Chemie, Endokrinologie
      • Hämatologie
      • Klinisch-chemische Parameter
      • Harnanalyse
      • Immunologische Untersuchungen / Entzündungsparameter
      • Endokrinologie / Tumormarker
      • Funktionstests / Berechnungsformeln
    • Vitamine, Medikamentenspiegel, Vergiftungen
      • Vitamine
      • Medikamentenspiegel
      • Vergiftungsnachweis
    • Allergie
      • Allergiediagnostik
      • Allergen-spezifische Immuntherapie (ASIT)
    • Infektionskrankheiten:
      Erreger- und Antikörpernachweise
      • Viren
      • Bakterien
      • Pilze
      • Parasiten
    • Mikrobiologie / Parasitologie
      • Bakteriologie / Mykologie
      • Parasitologie
      • Untersuchungen bei Verdauungsstörungen und Diarrhöe
      • Autovakzine / bestandsspezifische Vakzine
    • Pathologie
      • Pathohistologie
      • Immunhistologie
      • Zytologie
      • Lymphozyten-Klonalität
      • Tumorgenetische Tests
    • Genetik
      • Erbkrankheiten
      • Genetikpakete
      • Performance
      • Fellfarbe / Haarstruktur
      • Identität / Abstammung
      • Rassezuordnung
      • Erbgänge
      • Molekularbiologische Tierartendifferenzierung
      • Geschlechtsbestimmung
    • Hygieneuntersuchungen
      • Profile
      • Einzeluntersuchungen
    • Desinfektionsmittelprüfungen
    • Wasseruntersuchungen
      • Trinkwasser
      • Tränkwasser
      • Aquarien-/Teichwasser
    • Abkürzungen / Hinweise zu den Testbeschreibungen
  • Fachinformationen
    • Info-Broschüren
    • Folder Rat & Tat
    • Poster
    • Kompendium / Leistungsverzeichnisse
    • FAQ
    • Präanalytik
    • Allergie / Dermatologie
    • Antibiose / Resistenzen
    • Bildergalerie
    • Publikationen Deutsch
    • Publikationen Englisch
    • Bestellungen: Bücher
    • Video-Tutorials
    • Referenzwerte
    • SI-Rechner
  • Infothek
    • LABOKLIN aktuell
    • LABOKLIN aktuell Pferd
    • LABOKLIN aktuell Vögel/Reptilien
    • LABOKLIN aktuell Dermatologie
    • LABOKLIN FürSieGelesen
    • LABOKLIN LABO-Talk
    • Tiermedizin trifft Genetik
  • Laboklin
    • Akkreditierung
    • Geschichte
    • Pressespiegel
    • Blick ins Labor
  • Karriere
    • Offene Stellen
    • Einstiegsmöglichkeiten
      • Unser Angebot für Berufseinsteiger und Berufserfahrene
      • Unser Angebot für Schüler
      • Unser Angebot für Studierende
      • Unser Ausbildungsangebot
    • Wir als Arbeitgeber
      • Ihr Arbeitsplatz
      • Unsere Mitarbeiter-Benefits
      • Der Standort Bad Kissingen
    • Rund um die Bewerbung
    • Datenschutzhinweise im Bewerbungsverfahren
  • Kontakt
    • Ansprechpartner
  • Akademie
    • Seminare/Fortbildungen DE
    • Web-/Seminare AT

13. Oktober 2019

Sie befinden sich hier:
  1. Start
  2. 2019
  3. Oktober
  4. 13

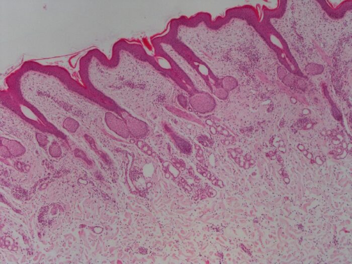
Laboklin: Histologisches Präparat (HE-Färbung, 40fache Vergrößerung): Haut mit telogenen Haarfollikeln und gemischtzelliger Entzündung

Alopezie bei Pferden

LABOKLIN aktuell Pferd 2019Von Laboklin | Bad Kissingen13. Oktober 2019

Unter Alopezie versteht man eine generalisierte oder lokal auftretende Haarlosigkeit.

LABOKLIN Bad Kissingen
2026 © LABOKLIN GMBH & CO. KG | Impressum | AGBs | Datenschutzerklärung | FAQ | Hinweisgeber-/Meldesystem
Go to Top
Barrierefreiheits-Anpassungen

Powered by OneTap

Barrierefreiheitserklärung für LABOKLIN GmbH & Co. KG

Bei LABOKLIN GmbH & Co. KG setzen wir uns dafür ein, unsere digitale Präsenz so barrierefrei und inklusiv wie möglich zu gestalten – für alle Nutzer, einschließlich Menschen mit Behinderungen. Unser Ziel ist es, die Benutzerfreundlichkeit von www.laboklin.com zu verbessern und ein barrierefreies Erlebnis für alle zu unterstützen, unabhängig von ihren Fähigkeiten oder den verwendeten Technologien.

Unser Ansatz zur Barrierefreiheit

Wir orientieren uns an den Web Content Accessibility Guidelines (WCAG), die international anerkannte Standards für digitale Barrierefreiheit definieren. Auch wenn eine vollständige Konformität nicht immer garantiert werden kann, streben wir an, Verbesserungen umzusetzen, wo dies möglich ist, und überprüfen regelmäßig barrierebezogene Aspekte unserer Website. Barrierefreiheit ist ein fortlaufender Prozess, und wir sind bestrebt, das Nutzererlebnis kontinuierlich zu verbessern, während sich Technologien, Standards und Nutzerbedürfnisse weiterentwickeln.

Barrierefreiheitsfunktionen

Um die Barrierefreiheit zu unterstützen, kann www.laboklin.com Tools wie die OneTap-Barrierefreiheitstoolleiste verwenden. Diese Benutzeroberfläche bietet eine Reihe hilfreicher Funktionen, darunter:
  • Anpassbare Textgröße und Kontrasteinstellungen
  • Hervorhebung von Links und Text zur besseren Sichtbarkeit
  • Vollständige Tastaturnavigation der Toolleisten-Oberfläche
  • Schnellstart über Tastenkombination: Alt + . (Windows) oder ⌘ + . (Mac)
Bitte beachten Sie Folgendes:
  • Die Verfügbarkeit und Wirksamkeit dieser Funktionen hängen von der Konfiguration und laufenden Wartung der Website ab.
  • Auch wenn wir bestrebt sind, Barrierefreiheit zu gewährleisten, können wir nicht garantieren, dass jeder Teil von www.laboklin.com jederzeit vollständig barrierefrei ist. Einige Inhalte können von Dritten bereitgestellt werden oder durch technische Einschränkungen außerhalb unserer Kontrolle beeinflusst sein.

Feedback und Kontakt

Wir freuen uns über Ihr Feedback. Wenn Sie auf Barrieren stoßen oder Verbesserungsvorschläge haben, kontaktieren Sie uns bitte: E-Mail: website@laboklin.com Wir sind bestrebt, alle Anfragen zu prüfen und innerhalb von 3–5 Werktagen zu antworten. Wenn Sie Unterstützung beim Zugriff auf Teile dieser Website benötigen, stellen wir auf Anfrage gerne alternative Zugangswege bereit. Letzte Aktualisierung: 29. Juli 2025
Wie lange möchten Sie die Barrierefreiheits-Symbolleiste ausblenden?
Symbolleiste-Ausblenddauer
Barrierefreiheits-Profile
Sehbehinderten-Modus
Verbessert die visuellen Elemente der Website
Anfallssicheres Profil
Entfernt Blitze und reduziert Farben
ADHS-freundlicher Modus
Fokussiertes Browsing, ablenkungsfrei
Blinden-Modus
Reduziert Ablenkungen, verbessert den Fokus
Epilepsie-sicherer Modus
Dämpft Farben und stoppt Blinken
Inhaltsmodule
Symbolgröße

Standard

Zeilenhöhe

Standard

Farbmodule
Orientierungsmodule
LABOKLIN Bad Kissingen
Cookie-Zustimmung verwalten
Um dir ein optimales Erlebnis zu bieten, verwenden wir Technologien wie Cookies, um Geräteinformationen zu speichern und/oder darauf zuzugreifen. Wenn du diesen Technologien zustimmst, können wir Daten wie das Surfverhalten oder eindeutige IDs auf dieser Website verarbeiten. Wenn du deine Zustimmung nicht erteilst oder zurückziehst, können bestimmte Merkmale und Funktionen beeinträchtigt werden.
Funktional Immer aktiv
Die technische Speicherung oder der Zugang ist unbedingt erforderlich für den rechtmäßigen Zweck, die Nutzung eines bestimmten Dienstes zu ermöglichen, der vom Teilnehmer oder Nutzer ausdrücklich gewünscht wird, oder für den alleinigen Zweck, die Übertragung einer Nachricht über ein elektronisches Kommunikationsnetz durchzuführen.
Vorlieben
Die technische Speicherung oder der Zugriff ist für den rechtmäßigen Zweck der Speicherung von Präferenzen erforderlich, die nicht vom Abonnenten oder Benutzer angefordert wurden.
Statistiken
Die technische Speicherung oder der Zugriff, der ausschließlich zu statistischen Zwecken erfolgt. Die technische Speicherung oder der Zugriff, der ausschließlich zu anonymen statistischen Zwecken verwendet wird. Ohne eine Vorladung, die freiwillige Zustimmung deines Internetdienstanbieters oder zusätzliche Aufzeichnungen von Dritten können die zu diesem Zweck gespeicherten oder abgerufenen Informationen allein in der Regel nicht dazu verwendet werden, dich zu identifizieren.
Marketing
Die technische Speicherung oder der Zugriff ist erforderlich, um Nutzerprofile zu erstellen, um Werbung zu versenden oder um den Nutzer auf einer Website oder über mehrere Websites hinweg zu ähnlichen Marketingzwecken zu verfolgen.
  • Optionen verwalten
  • Dienste verwalten
  • Verwalten von {vendor_count}-Lieferanten
  • Lese mehr über diese Zwecke
Einstellungen ansehen
  • {title}
  • {title}
  • {title}