Goliat ist ein 2012 geborener Dackelmischlingsrüde. Im Alter von 4 Jahren wurde er von einer ungarischen Tierschutzorganisation übernommen. Damals zeigte er einen minderguten Ernährungszustand, eine eitrige Konjunktivitis sowie diverse Hautwunden, die aber bereits in Abheilung waren. Außerdem hatte er rezidivierenden Durchfall, der teilweise Blut- und Schleimbeimengungen aufwies. Ein Giardien-ELISA war positiv, nach einer Therapie mit Fenbendazol normalisierte sich der Kotabsatz. Da Goliats Partnerhund Futtermittelallergiker ist, wurde auch er selbst auf einer Diät (Ente und Mais) gehalten. Dennoch hatte er zunächst seltene, kolikartige Zustände, die mit Borborygmus und Inappetenz, gelegentlich auch mit Erbrechen einhergingen. Diese Anfälle häuften sich, und schließlich blieb die Symptomatik über mehrere Tage bestehen. Nachdem Blutscreening, Kotuntersuchung und Ultraschall des Abdomens keine Auffälligkeiten zeigten und auch eine Umstellung auf eine Magenschonkost nur eine geringgradige Verbesserung brachte, wurde eine Helicobacter-PCR aus Erbrochenem durchgeführt und diese war positiv. Obwohl die Pathogenität von Helicobacter spp. bei Hunden umstritten ist, wurde eine Therapie mit Metronidazol, Amoxicillin und Pantoprazol gestartet und bereits am 2. Tag nach Therapiebeginn war Goliat klinisch unauffällig. Goliat wurde nach einigen Monaten (im Alter von 7 Jahren) von der Magenschonkost wieder auf die Diät des allergischen Zweithundes umgestellt und entwickelte innerhalb weniger Tage hochgradigen Juckreiz an beiden Ohren.
Klinisches Bild
Beide Pinnae waren warm, gerötet und verdickt, ebenso der äußere Gehörgang. In diesem hatte sich außerdem reichlich bräunliches Cerumen mit leichtem Hefegeruch angesammelt. Das Trommelfell war nicht einsehbar.
Zytologische Untersuchung
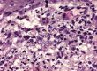
Am Ohrabstrich-Präparat waren zwischen den physiologisch vorhandenen Hornschollen reichlich Bakterien (Kokken) und auch vermehrt Malassezien zu sehen (Abb. 1). Neben reichlichen Chromatinfäden waren stellenweise auch einige intakte neutrophile Granulozyten vorhanden.
Erste Diagnose
Hochgradige septisch-eitrige Otitis externa mit Malassezienüberwucherung. Da Otitis externa bei Hunden sehr häufig durch Futtermittelallergien induziert wird und in diesem Fall der zeitliche Zusammenhang mit der Futterumstellung eklatant war, war eine Futtermittelallergie als Primärerkrankung die oberste Differentialdiagnose.
Serologische Untersuchung auf Futtermittelallergene
Die Diagnose „Futtermittelallergie“ wird mittels Eliminationsdiät, die über mindestens 8 Wochen durchgeführt werden sollte, und anschließender Provokation mit dem ursprünglich verwendeten Futter gestellt. Zeigt der Patient ein Rezidiv, kann die Futtermittelallergie diagnostiziert werden. Die Diät kann aus einer Protein- und einer Kohlehydratquelle bestehen, die der Patient noch nie zuvor gefressen hat. Aufgrund des sehr weit gefächerten Angebotes an kommerziellen Futtermitteln wird es heutzutage immer schwieriger, eine Diät zu finden, welche noch nie gefüttert worden ist. Daher empfiehlt es sich, zur Auswahl der Protein- und Kohlehydratquelle für die Eliminationsdiät einen Allergietest (allgemeiner/erweiterter/exotischer Futtermittelallergietest: Infos dazu siehe laboklin.com/allergie) durchzuführen. Anhand des Testergebnisses werden eine Proteinquelle und eine Kohlehydratquelle ausgewählt, auf die weder im Bereich der IgE- noch der IgG-Antikörper eine positive Reaktion vorliegt. Eine Studie der Universitätskleintierklinik in München zeigte, dass der negative Vorhersagewert der Futtermittelallergietests unter Berücksichtigung beider Antikörperklassen bei 81,1% liegt (Bethlehem et al., 2012). Verwendet man für die Diät nur Bestandteile, die bei IgE und IgG keine Reaktion zeigen (Reaktionsklasse null), füttert man somit bei 4 von 5 Hunden eine passende Eliminationsdiät. Neben selbst zubereitetem Futter und hochwertigen, hypoallergenen kommerziellen Diäten kann für die Eliminationsdiät auch hydrolysiertes Futter verwendet werden. Natürlich muss auch hier auf gute Qualität und v.a. auf den Grad der Hydrolysierung (Größe der Peptide sollte < 1 kDa sein) geachtet werden. Bei Goliat wurde ein Futtermittelallergietest durchgeführt; leider zeigte er bei fast allen getesteten Protein- und Kohlehydratquellen positive Reaktionen im Bereich der IgE und auch einige positive Ergebnisse im Bereich der IgG. Aufgrund des multipositiven Testergebnisses wurde Goliat ab sofort mit einer qualitativ hochwertigen, hydrolysierten Diät aus Geflügelfedern (< 1kDa) und hoch aufgereinigter Maisstärke gefüttert (RC Anallergenic®), das auch sein allergischer Partnerhund fressen konnte.
-
Abb. 1: Ohrabstrich-Präparat: Hornschollen, Chromatinfäden (vermutlich von Neutrophilen) sowie reichlich Kokken und einige Malassezien
Bildquelle: Dr. Maria Christian
-
Abb. 2: Alopezie, Erythem und Hyperpigmentierung medial am Unterarm.
Bildquelle: Dr. Maria Christian
-
Abb. 3: Deutliche Alopezie und Hyperpigmentierung am Abdomen.
Bildquelle: Dr. Maria Christian
-
Abb. 4: Seromuköser Augenausfluss infolge einer allergischen Konjunktivitis.
Bildquelle: Dr. Maria Christian
Therapie Otitis und Futtermittelallergie
Leider war eine gründliche Ohrreinigung bzw. sogar die Verabreichung von Ohrentropfen wegen fehlender Compliance des eigenwilligen Patienten kaum möglich, sodass Goliat nach ein paar Tagen einen Termin zur Ohrspülung in Vollnarkose bekam. Bereits vor dieser eingehenden Untersuchung und Behandlung konnte eine deutliche Verbesserung der Symptome festgestellt werden, die allein der Futterumstellung zugeschrieben wurde. Die Schwellung war fast gänzlich verschwunden und der Juckreiz äußerte sich nur noch durch ein gelegentliches Kopfschütteln. Nach der gründlichen Ohrreinigung in Sedierung wurde daher auf eine weitere lokale Therapie verzichtet. Um Goliat nicht ausschließlich mit Trockenfutter zu ernähren, wurde nach etwa 6 Wochen, als klinisch kaum noch Symptome einer Otitis festzustellen waren, eine Nassfuttervariante eines hydrolysierten Futters – ebenfalls basierend auf Geflügelprotein und Maisstärke (Hill’s z/d®) – zugefüttert. Wahrscheinlich reichte der Hydrolysierungsgrad dieser Diät nicht aus, denn wieder trat innerhalb weniger Tage eine Otitis externa auf. Nach erneuter Futterumstellung rein auf das hydrolysierte Trockenfutter heilte die Otitis wieder aus. Auch eine Studie mit Hunden, die auf Huhn allergisch reagieren, zeigte, dass 40% der Patienten auf die Fütterung von Hill’s z/d® mit deutlich vermehrtem Juckreiz reagierten, wohingegen RC Anallergenic® bei keinem Hund eine Verschlechterung der klinischen Symptome verursachte (Bizikova et al., 2016).
Weiterer Verlauf
Einige Wochen später – im Frühsommer – entwickelte Goliat trotz strenger Einhaltung der Diät erneut geringgradigen Juckreiz an den Ohren, aber zusätzlich auch an den Extremitäten, in den Achseln und am ventralen Abdomen, der sich im August schließlich zur Stärke 8 – 9/10 nach der visuellen Analog-Skala für Juckreiz (Pruritus Visual Analog Scale; PVAS) steigerte. Die Haut zeigte in diesen Bereichen zunehmend ein Erythem, moderate Alopezie, Hyperpigmentierung sowie leichten Hefegeruch (Abb. 2 und 3). Außerdem fiel eine mittelgradige, seromuköse Konjunktivitis auf (Abb. 4).
Da keine Erosionen oder Krusten vorhanden waren, wurde mittels Klebestreifen ein Abklatschpräparat der Haut entnommen, um es auf Sekundärinfektionen zu prüfen. Mikroskopisch waren neben reichlich Pollen auch Ansammlungen von neutrophilen Granulozyten sowie Kokken und wenige Malassezien zu finden. Auf die Beurteilung eines Hautgeschabsels wegen Ektoparasiten wurde verzichtet, da Goliat dauerhaft mit Simparica® (Sarolaner) versorgt wurde.
Klinische Verdachtsdiagnose
Canine atopische Dermatitis (CAD) mit Sekundärinfektionen. Da Goliat ausschließlich mit der hochgradig hydrolysierten Diät Anallergenic® gefüttert wurde, erschien es sehr unwahrscheinlich, dass die Juckreizsymptomatik durch die Futtermittelallergie verursacht wurde.
Therapie Atopie
Goliat wurde 2x pro Woche mit einem Chlorhexidin-haltigen Pflegeshampoo (Douxo Pyo®) gebadet und zusätzlich wurde die Hautbarrierefunktion durch essentielle Fettsäuren und Ceramide unterstützt. Aufgrund seiner strengen Diät wurde auf ein Spot-on-Präparat zurückgegriffen (Allerderm®). Obwohl sich das Erythem und die Alopezie deutlich besserten, wurde der Juckreiz durch die lokale Therapie nur geringgradig besser. Auch eine Injektion von Cytopoint® (Lokivetmab) konnte den Juckreiz nur reduzieren. Daher wurde nach einer Blutentnahme für die Durchführung eines Allergietest auf Umgebungsallergene vorübergehend eine Therapie mit Prednisolon gestartet (1 mg/kg tgl. für 1 Woche, dann 0,5 mg/kg tgl.). In Kombination mit regelmäßigen Injektionen von Cytopoint® sowie weitergeführter topischer Therapie war die Konjunktivitis nach wenigen Wochen geheilt und der Juckreiz zwar besser, aber noch immer bei einer Stärke von 6/10 nach PVAS.
ASIT
Da Goliat im Allergietest auf alle Milben eine positive Reaktion gezeigt hatte, wurde die ASIT bestellt. Das Prednisolon wurde vor Beginn der Hyposensibilisierung ausgeschlichen, weil es in Relation zur recht hohen Dosierung nur wenig zur Verbesserung der Juckreizsymptomatik beitrug. Die ASIT wurde lt. Therapieplan begonnen. Anfangs bekam Goliat zusätzlich Cytopoint® gegen den Juckreiz. Bei Hunden, die nach der Verabreichung von Cytopoint® völlig juckreizfrei sind, wäre die Kombination mit der ASIT vor allem zum Therapiestart nicht zu empfehlen. Es ist zu Beginn der ASIT wichtig, dass die Patienten nicht gänzlich symptomfrei sind, weil sonst weder eine Verbesserung noch eine Verschlechterung der Klinik erkannt werden kann. Besonders im Fall einer Symptomverschlechterung ist es aber von Bedeutung, rasch in Form einer Adaptierung des Therapieschemas der ASIT zu reagieren. Da Goliat seit Beginn des Juckreizgeschehens nie symptomfrei war, wurde noch einmalig nach Beginn der ASIT Cytopoint® gespritzt. Auch nach Ende der Wirkdauer davon zeigte Goliat keinen vermehrten Juckreiz und nach 12 Wochen zeigte der Hund als einziges Anzeichen seiner Allergie kurze Phasen von Belecken der Pfoten vor allem abends vor dem Schlafen (2 – 3/10 PVAS).
Langzeitmanagement
Die Shampoo-Therapie wurde auf 1x pro Woche reduziert, die wöchentliche Verabreichung von Allerderm®-Spot-on wurde genauso wie die dauerhafte Gabe von Simparica® beibehalten. Gefüttert wird Goliat weiterhin mit RC Anallergenic ®. Um den Milbendruck in der Umgebung zu senken, werden sämtliche Schlafplätze wöchentlich bei 60°C gewaschen und im Trockner getrocknet. Vor allem im Spätsommer zeigt Goliat trotzdem immer wieder Phasen von vermehrtem Juckreiz, die aber bisher durch häufigeres Schamponieren und der zusätzlichen Anwendung von hautpflegendem Schaum (Douxo Calm®) ohne den Einsatz von systemischen juckreizstillenden Medikamenten in den Griff zu bekommen waren. Diese „saisonale“ Verschlechterung bei einem Milbenallergiker kann dadurch erklärt werden, dass sich Hausstaubmilben unter bestimmten klimatischen Bedingungen explosionsartig vermehren können und somit der Allergendruck stark ansteigt. Eine andere Erklärung könnte sein, dass Goliat mittlerweile doch eine Reaktion auf Pollen von spätblühenden Pflanzen zeigt, die im ersten Allergietest noch nicht zu erkennen war. Ein weiterer Allergietest auf saisonale Allergene ist daher geplant.
Diskussion
CAD betrifft ca. 10% der weltweiten Hundepopulation und ist damit eine häufig auftretende Erkrankung. Je nach Studie tritt die atopische Dermatitis bei 3 – 30% der betroffenen Hunde gleichzeitig mit einer Futtermittelallergie auf, wie es auch bei Goliat der Fall ist. Die Pathogenese der CAD ist multifaktoriell: einerseits besteht eine genetische Veranlagung, andererseits beeinflussen aber auch Umweltfaktoren das Auftreten und den Verlauf der CAD. Einige Rasseprädispositionen sind bekannt (z.B. Labrador, Golden Retriever, WHWT, Bullterrier…) – d.h. Goliat als Mischling sollte eigentlich ein geringeres Risiko tragen, eine Allergie zu entwickeln. Allergie-beeinflussende Umweltfaktoren bei Hunden wurden in verschiedenen Studien untersucht, die teilweise konträre Ergebnisse zeigen. Ein Risikofaktor, der in nahezu allen Untersuchungen identifiziert werden konnte, ist das Leben bzw. Aufwachsen in einer urbanen Umgebung. Die in der Humanmedizin postulierte Hygienehypothese, die besagt, dass eine hohe Mikroben-Exposition in der Kindheit vor allergischen Erkrankungen schützt, dürfte auch in der Veterinärmedizin zutreffen. Weitere protektive Umweltfaktoren sind: ländliche Umgebung, viel Zeit in der Natur, mehrere Tiere im Haushalt, selbstgekochtes Futter während der Trächtigkeit und späte Welpen-Vergabe. Negative Risikofaktoren sind hingegen eine sehr saubere Umgebung und das Liegen auf Polstermöbeln bzw. an Plätzen mit hoher Hausstaubmilbendichte. Da über Goliats frühe Vorgeschichte nichts bekannt ist, ist die Beurteilung der Risikofaktoren in seinem Fall teilweise nicht möglich. Ein weiterer Risikofaktor, der erst kürzlich in der Humanmedizin untersucht wurde, ist die Einnahme von Magenschutzmedikamenten (Jensen-Jarolim et al, 2019). In einer groß angelegten retrospektiven Studie wurde gezeigt, dass die Einnahme v.a. von Protonenpumpeninhibitoren das Risiko für das Auftreten allergischer Symptome, die eine antiallergische Therapie erfordern, verdoppelt bis verdreifacht. Neben einer direkten Einwirkung der Medikamente auf das Immunsystem ist in der Humanmedizin auch eine Veränderung des oralen und gastrointestinalen Mikrobioms nachgewiesen, die ein pro-allergisches Milieu schafft und die Entstehung von allergischen Erkrankungen fördert. Auch in der Veterinärmedizin wird seit wenigen Jahren intensiv an der Bedeutung des Mikrobioms geforscht. Nach ersten Ergebnissen scheint das gastrointestinale Mikrobiom die Entwicklung von Adipositas, allergischer Dermatitis und Neoplasien sowie kognitive Funktionen und die Nierenfunktion zu beeinflussen. Möglicherweise hat auch die Therapie des Helicobacter mit Pantoprazol bei Goliat die Entstehung seiner Allergien begünstigt. Der Fall von Goliat zeigt auf, dass nicht jeder Allergiker auf die klassischen Therapiemöglichkeiten gleich gut anspricht, und dass für jeden Patienten ein individuelles, meist multimodales Management notwendig ist. Ein wichtiger und effektiver Bestandteil davon ist die ASIT.
Dr. Maria Christian







