Skip to content
Login Mein LABOR
  • Österreich
    • Deutsch
    • Schweiz
    • Schweiz französisch
    • Schweiz italienisch
    • Englisch
    • Dänemark
    • Tschechien
    • Niederlande
    • Finnland
    • Frankreich
    • Italien
    • Norwegen
    • Polen
    • Slowakei
    • Spanien
    • Schweden
+43 732 717 242-0Paul-Hahn-Straße 3 | A - 4020 Linzlabor.linz@laboklin.com
Facebook page opens in new windowYouTube page opens in new windowInstagram page opens in new windowLinkedin page opens in new window
Search:
Suchen...
LABOKLIN Bad Kissingen
Labor für klinische Diagnostik in Bad Kissingen
LABOKLIN Bad KissingenLABOKLIN Bad Kissingen
  • Start
  • Leistungen
    • Profile
      • Profile/Screenings – Kleintiere
      • Profile/Screenings – Kleinsäuger, Vögel, Reptilien, Fische
      • Profile/Screenings – Pferd
      • Profile/Screenings – Wiederkäuer
      • Profile – Lama, Alpaka
      • Profile/Screenings – Schwein
      • Profile – Hygiene
    • Hämatologie, klin. Chemie, Endokrinologie
      • Hämatologie
      • Klinisch-chemische Parameter
      • Harnanalyse
      • Immunologische Untersuchungen / Entzündungsparameter
      • Endokrinologie / Tumormarker
      • Funktionstests / Berechnungsformeln
    • Vitamine, Medikamentenspiegel, Vergiftungen
      • Vitamine
      • Medikamentenspiegel
      • Vergiftungsnachweis
    • Allergie
      • Allergiediagnostik
      • Allergen-spezifische Immuntherapie (ASIT)
    • Infektionskrankheiten:
      Erreger- und Antikörpernachweise
      • Viren
      • Bakterien
      • Pilze
      • Parasiten
    • Mikrobiologie / Parasitologie
      • Bakteriologie / Mykologie
      • Parasitologie
      • Untersuchungen bei Verdauungsstörungen und Diarrhöe
    • Pathologie
      • Pathohistologie
      • Immunhistologie
      • Zytologie
      • Lymphozyten-Klonalität
      • Tumorgenetische Tests
    • Genetik
      • Erbkrankheiten
      • Genetikpakete
      • Performance
      • Fellfarbe / Haarstruktur
      • Identität / Abstammung
      • Rassezuordnung
      • Erbgänge
      • Molekularbiologische Tierartendifferenzierung
      • Geschlechtsbestimmung beim Vogel
    • Hygieneuntersuchungen
      • Profile – Hygiene
      • Hygiene – Einzeluntersuchungen
    • Desinfektionsmittelprüfungen
    • Wasseruntersuchungen
      • Trinkwasser
      • Tränkwasser
      • Aquarien-/Teichwasser
    • Abkürzungen / Hinweise zu den Testbeschreibungen
  • Fachinformationen
    • Info-Broschüren
    • Folder Rat & Tat
    • Poster
    • KOMPENDIUM / LVZ
    • FAQ Allgemeine Fragen
    • Präanalytik
    • Allergie / Dermatologie
    • Antibiose / Resistenzen
    • Bildergalerie
    • Publikationen Deutsch
    • Publikationen Englisch
    • Bestellungen: Bücher
    • Video-Tutorials
    • Referenzwerte
    • SI-Rechner
  • Infothek
    • LABOKLIN aktuell
    • LABOKLIN aktuell Pferd
    • LABOKLIN aktuell Vögel/Reptilien
    • LABOKLIN aktuell Dermatologie
    • LABOKLIN FürSieGelesen
    • LABOKLIN LABO-Talk
  • Laboklin
    • Akkreditierung
    • Geschichte
    • Presse
    • Blick ins Labor
  • Karriere
    • Offene Stellen
    • Einstiegsmöglichkeiten
      • Unser Angebot für Berufseinsteiger und Berufserfahrene
      • Unser Angebot für Schüler
      • Unser Angebot für Studierende
      • Unser Ausbildungsangebot
    • Wir als Arbeitgeber
      • Ihr Arbeitsplatz
    • Rund um die Bewerbung
    • Datenschutzhinweise im Bewerbungsverfahren
  • Kontakt
    • Ansprechpartner
  • Akademie
    • Seminare/Fortbildungen AT
    • Web-/Seminare DE
  • Start
  • Leistungen
    • Profile
      • Profile/Screenings – Kleintiere
      • Profile/Screenings – Kleinsäuger, Vögel, Reptilien, Fische
      • Profile/Screenings – Pferd
      • Profile/Screenings – Wiederkäuer
      • Profile – Lama, Alpaka
      • Profile/Screenings – Schwein
      • Profile – Hygiene
    • Hämatologie, klin. Chemie, Endokrinologie
      • Hämatologie
      • Klinisch-chemische Parameter
      • Harnanalyse
      • Immunologische Untersuchungen / Entzündungsparameter
      • Endokrinologie / Tumormarker
      • Funktionstests / Berechnungsformeln
    • Vitamine, Medikamentenspiegel, Vergiftungen
      • Vitamine
      • Medikamentenspiegel
      • Vergiftungsnachweis
    • Allergie
      • Allergiediagnostik
      • Allergen-spezifische Immuntherapie (ASIT)
    • Infektionskrankheiten:
      Erreger- und Antikörpernachweise
      • Viren
      • Bakterien
      • Pilze
      • Parasiten
    • Mikrobiologie / Parasitologie
      • Bakteriologie / Mykologie
      • Parasitologie
      • Untersuchungen bei Verdauungsstörungen und Diarrhöe
    • Pathologie
      • Pathohistologie
      • Immunhistologie
      • Zytologie
      • Lymphozyten-Klonalität
      • Tumorgenetische Tests
    • Genetik
      • Erbkrankheiten
      • Genetikpakete
      • Performance
      • Fellfarbe / Haarstruktur
      • Identität / Abstammung
      • Rassezuordnung
      • Erbgänge
      • Molekularbiologische Tierartendifferenzierung
      • Geschlechtsbestimmung beim Vogel
    • Hygieneuntersuchungen
      • Profile – Hygiene
      • Hygiene – Einzeluntersuchungen
    • Desinfektionsmittelprüfungen
    • Wasseruntersuchungen
      • Trinkwasser
      • Tränkwasser
      • Aquarien-/Teichwasser
    • Abkürzungen / Hinweise zu den Testbeschreibungen
  • Fachinformationen
    • Info-Broschüren
    • Folder Rat & Tat
    • Poster
    • KOMPENDIUM / LVZ
    • FAQ Allgemeine Fragen
    • Präanalytik
    • Allergie / Dermatologie
    • Antibiose / Resistenzen
    • Bildergalerie
    • Publikationen Deutsch
    • Publikationen Englisch
    • Bestellungen: Bücher
    • Video-Tutorials
    • Referenzwerte
    • SI-Rechner
  • Infothek
    • LABOKLIN aktuell
    • LABOKLIN aktuell Pferd
    • LABOKLIN aktuell Vögel/Reptilien
    • LABOKLIN aktuell Dermatologie
    • LABOKLIN FürSieGelesen
    • LABOKLIN LABO-Talk
  • Laboklin
    • Akkreditierung
    • Geschichte
    • Presse
    • Blick ins Labor
  • Karriere
    • Offene Stellen
    • Einstiegsmöglichkeiten
      • Unser Angebot für Berufseinsteiger und Berufserfahrene
      • Unser Angebot für Schüler
      • Unser Angebot für Studierende
      • Unser Ausbildungsangebot
    • Wir als Arbeitgeber
      • Ihr Arbeitsplatz
    • Rund um die Bewerbung
    • Datenschutzhinweise im Bewerbungsverfahren
  • Kontakt
    • Ansprechpartner
  • Akademie
    • Seminare/Fortbildungen AT
    • Web-/Seminare DE

INFOTHEK: Aktuelles

You are here:
  1. Home
  2. INFOTHEK: Aktuelles
View allLABOKLIN aktuellLABOKLIN DermatologieLaboklin PferdLABOKLIN Vögel/Reptilien
Sort by dateSort by name
DescendingAscending
Apr212026

Expertenrunde zur felinen Hyperthyreose

LABOKLIN aktuell21. April 2026

Feline Hyperthyreose: Symptome, Diagnostik, neue Parameter, Therapieoptionen

Artikel lesen...
Mrz302026
Endoparasiten des Kaninchens im Größenvergleich

Durchfall bei Kleinsäugern – labordiagnostische Möglichkeiten

LABOKLIN aktuell30. März 2026

Durchfall, Kotabsatz mit erhöhtem Wassergehalt und/oder einer erhöhten Frequenz, ist auch bei Kleinsäugern einer der häufigsten Vorstellungsgründe. Der Therapieerfolg ist abhängig vom Wissen um die…

Artikel lesen...
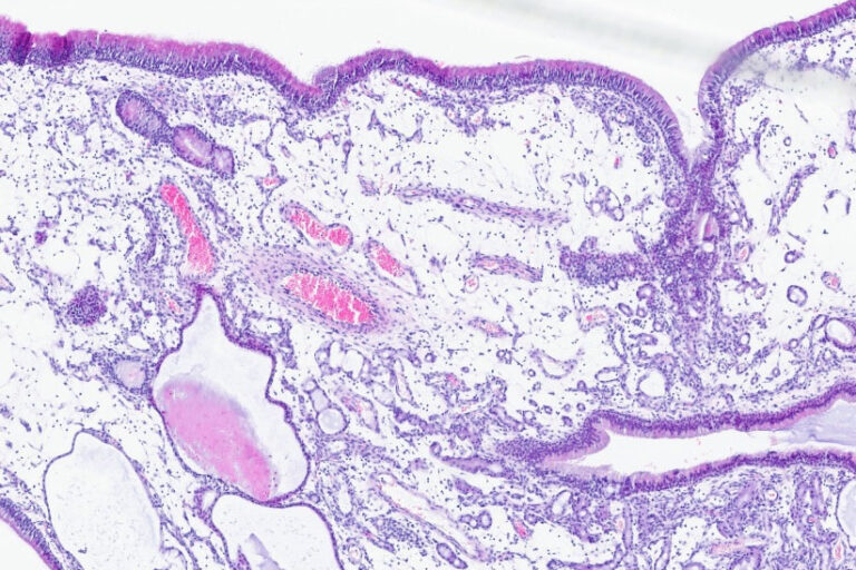
Mrz162026
Histologie eines nasalen Polypen eines Hundes, 4er Vergrößerung, HE-Färbung

Wenn die Nase ständig läuft – chronischer Nasenausfluss bei Hund und Katze

LABOKLIN aktuell16. März 2026

Chronischer Nasenausfluss bei Hund und Katze: Diagnostik, Differentialdiagnosen von Rhinitis über Mykosen zu Neoplasien

Artikel lesen...
Mrz92026

Die feline Sporotrichose – eine Differentialdiagnose bei Hautläsionen der Katze?

LABOKLIN Dermatologie9. März 2026

Feline Sporotrichose: Ursachen, Symptome und Diagnostik der seltenen, aber zoonotischen Hautpilzinfektion bei Katzen.

Artikel lesen...
Feb162026
pleomorphe Zellen eines Karzinoms

Labordiagnostische Aufarbeitung von Körperhöhlenergüssen

LABOKLIN aktuell16. Feber 2026

Ergussanalyse: Transsudat, Exsudat, Zytologie, Zellzahl, weitere Diagnostik

Artikel lesen...
Jän272026
Katze mit FIP

Akute-Phase-Proteine bei Hund und Katze – aktuelle Erkenntnisse und Bedeutung für die Praxis

LABOKLIN aktuell27. Jänner 2026

Akute-Phase-Protein bei Hund und Katze: diagnostische Bedeutung von CRP, SAA, AGP und Co. für die Praxis

Artikel lesen...
Dez32025

Expertenrunde zum Cushing-Syndrom

LABOKLIN aktuell3. Dezember 2025

Aktuelle Expertenrunde zum Cushing‑Syndrom: Fachwissen zu Symptomen, Diagnostik und Therapie bei Hund und Katze – kompakt und praxisnah erklärt.

Artikel lesen...
Nov282025
Symptome der in die Studie inkludierten Pferde

Die Allergen-spezifische Immuntherapie (ASIT) bei Pferden

LABOKLIN Dermatologie28. November 2025

ASIT Pferd: Gründe für Behandlungsabbrüche und Optimierung des Behandlungserfolges

Artikel lesen...
Okt292025

Hypothyreose beim Hund: diagnostische Schärfe durch moderne Verfahren – Fokus rT3 und LC-MS/MS

LABOKLIN aktuell29. Oktober 2025

Bei der präzisen Diagnose der kaninen Hypothyreose liefern die rT3-Messung sowie LC-MS/MS-basierte Analysen besonders in Zweifelsfällen entscheidende Informationen.

Artikel lesen...
Sep182025

Spontantumoren beim Meerschweinchen (Cavia porcellus): retrospektive Auswertung von Tumoren aus der Routineeinsendung

LABOKLIN aktuell18. September 2025

Spontantumoren bei Meerschweinchen: Häufigkeit, Lokalisation, Histologie

Artikel lesen...
Sep122025

Die Laboklin Expertenrunde zur granulozytären Anaplasmose (Anaplasma phagocytophilum)

LABOKLIN aktuell12. September 2025

Experteneinschätzungen zu Symptomen, Diagnostik und Therapie der granulozytären Anaplasmose bei Kleintieren und Pferden

Artikel lesen...
Sep32025

Bestandsbetreuung Rind – das Tränkwasser als Schlüssel für gesunde und leistungsfähige Tiere

LABOKLIN aktuell3. September 2025

Bedeutung Tränkwasser für die Rindergesundheit und Parameter bei der Analyse inkl. Richtwerte

Artikel lesen...
Jul302025

Fäkale Biomarker bei chronischen Enteropathien von Hund und Katze

LABOKLIN aktuell30. Juli 2025

Intraokuläre melanozytäre Tumore bei Hund und Katze: Klinik, Diagnose, Prognose

Artikel lesen...
Jul182025
Fazialer diskoider Lupus erythematodes mit Depigmentation, Ulzera und Hyperkeratose im Bereich des Nasenspiegels

Der kutane Lupus erythematodes beim Hund

LABOKLIN Dermatologie18. Juli 2025

Überblick über Formen, Diagnostik und Therapie des kutanen Lupus erythematodes beim Hund – praxisrelevant und aktuell

Artikel lesen...
Jun162025

Dunkle Flecken im Sichtfeld: okuläre melanozytäre Tumoren der Uvea bei Hund & Katze

LABOKLIN aktuell16. Juni 2025

Intraokuläre melanozytäre Tumore bei Hund und Katze: Klinik, Diagnose, Prognose

Artikel lesen...
Mai92025

Die Laboklin Expertenrunde zum Lymphom

LABOKLIN aktuell9. Mai 2025

Experten geben Einblick in Diagnostik, Prognose und Therapiemöglichkeiten

Artikel lesen...
Mai92025

Bestandsbetreuung Rind – die Transitphase als Schlüssel für eine erfolgreiche Milchproduktion

LABOKLIN aktuell9. Mai 2025

Transitphase beim Rind: Labordiagnostik zur Früherkennung von Stoffwechselstörungen und Immunstatus

Artikel lesen...
Apr242025
Hund mit starkem Juckreiz und Hot Spot

Juckreiz verstehen und richtig behandeln

LABOKLIN Dermatologie24. April 2025

Pruritus verstehen: Ursachen, Arten und Behandlungsmöglichkeiten bei Hunden und Katzen, für eine optimale Lebensqualität und wirksame Therapieansätze.

Artikel lesen...
Apr232025

Giardien – Vorteile und Nachteile unterschiedlicher Nachweisverfahren

LABOKLIN aktuell23. April 2025

Giardien, wann ist welcher Test sinnvoll?

Artikel lesen...
Mrz242025
Schematische Darstellung möglicher Felv Verlaufsformen

Felines Leukose Virus (FeLV) und Felines Immundefizienz Virus (FIV) – selten aber wichtig

LABOKLIN aktuell24. März 2025

Informationen über das Feline Leukosevirus (FeLV) und Feline Immundefizienzvirus (FIV) – wichtige Details zur Diagnose, Prävention und Prognose.

Artikel lesen...
Feb252025

Präanalytik beim Kleinsäuger – was ist wichtig?

LABOKLIN aktuell25. Feber 2025

Optimale Präanalytik für Kleinsäuger bei LABOKLIN Bad Kissingen. Vermeiden Sie präanalytische Fallen und verbessern Sie die Probenqualität für aussagekräftige Ergebnisse.

Artikel lesen...
Feb172025

Die Laboklin Expertenrunde zur Epilepsie

LABOKLIN aktuell17. Feber 2025

LABOKLIN Expertenrunde zur Epilepsie: Fachvorträge von Experten über Ursachen, Diagnostik, genetische Prädispositionen und Therapien bei Hund und Katze.

Artikel lesen...
Feb32025
Pyogranulomatöse Entzündung mit Nachweis von Leishmanien

Dermatologische Zytologie

LABOKLIN Dermatologie3. Feber 2025

Schnelle dermatologische Zytologie | Laboklin: Hautuntersuchung für Kleintiere – von Allergien bis Krebsdiagnostik. Präzise Befunde für optimale Therapie

Artikel lesen...
Jän82025
Ultraschallbild eines Harnblasenkarzinoms

BRAF-Mutation und BRAF comp. Test – ein Update

LABOKLIN aktuell8. Jänner 2025

Erfahren Sie alles über die BRAF-Mutation und den BRAF comp. Test beim Hund – wie diese Tests zur Diagnose von Karzinomen der Harnblase und Prostata…

Artikel lesen...
Nov282024
Gründe für den Abbruch einer Allergen-spezifischen Immuntherapie (ASIT) bei Hunden nach mindestens einer Folgebehandlung

Die Allergen-spezifische Immuntherapie (ASIT) bei Hunden – was sind die Gründe für einen Behandlungsabbruch und wie kann der Behandlungserfolg optimiert werden?

LABOKLIN Dermatologie28. November 2024

Die Allergen-spezifische Immuntherapie (ASIT, Hyposensibilisierung) ist die einzige kausale Therapieform bei der Behandlung der Caninen Atopischen Dermatitis (CAD).

Artikel lesen...
Sep162024
Katze mit PF in Remission

Pemphigus foliaceus bei Hunden und Katzen

LABOKLIN Dermatologie16. September 2024

Pemphigus foliaceus (PF) ist die am häufigsten auftretende Autoimmunerkrankung der Haut bei Hunden und Katzen.

Artikel lesen...
Jul82024

Erythema multiforme Komplex bei Hund und Katze

LABOKLIN Dermatologie8. Juli 2024

Unter dem Überbegriff Erythema multiforme (EM)-Komplex ist eine Gruppe von seltenen immunmediierten Erkrankungen bei Hund und Katze zusammengefasst, bei der eine zytotoxische T-Zell-vermittelte Zerstörung von…

Artikel lesen...
Mrz172026

Neue Leistungen bei Fischen und Reptilien

LABOKLIN Vögel/Reptilien17. März 2026

Neue Laboklin‑Diagnostik für Fische und Reptilien: Schnellere PCR‑Nachweise, präzise Laboranalysen und moderne Verfahren für Tierärzte und Halter.

Artikel lesen...
Nov172025
Geschlechtsdimorphismus bei der Steppennatter (Elaphe dione), Männchen oben, Weibchen unten

Geschlechtsbestimmung bei Schlangen

LABOKLIN Vögel/Reptilien17. November 2025

Genetische Geschlechtsbestimmung bei Schlangen: sicher, zuverlässig, verletzungsfrei

Artikel lesen...
Jul172025
Scharlachara (Ara macao) beim Fressen von Früchten
des Strandmandelbaums (Terminalia catappa) in Costa Rica

Vitamine im Blut von Vögeln und Reptilien

LABOKLIN Vögel/Reptilien17. Juli 2025

Vitaminmessungen im Blut bei Reptilien und Vögeln, Interpretation Mangel

Artikel lesen...
Aug82022
Laboklin: Griechische-Landschildkröte-(Testudo-hermanni)

Labordiagnostik bei Schildkröten

LABOKLIN Vögel/Reptilien8. August 2022

Schildkröten sind populäre Haustiere, die, wenn sie entsprechend gehalten werden, ein hohes Alter erreichen können.

Artikel lesen...
Sep132014
Laboklin: Griechische Landschildkröte (Testudo hermanni) mit seröser Nasenausfluss und Lidödem: Mykoplasmeninfektion (Mycoplasma agassizii)

Häufige bei Land- und Wasserschildkröten vorkommende Krankheiten

LABOKLIN aktuell 2014, LABOKLIN Vögel/Reptilien13. September 2014

Schildkröten sind sehr beliebte Haustiere, die bei guter Haltung viele Jahrzehnte leben und sogar über Generationen in Familien gehalten werden können. Aus diesem Grund entsteht…

Artikel lesen...
Jän72026
Pferd mit generalisierter ES: schlechter Allgemeinzustand,
disseminierte schuppende und krustöse Hautveränderungen

Equine Sarkoidose

Laboklin Pferd7. Jänner 2026

Der Artikel gibt einen Überblick über Klinik, Pathogenese, Diagnostik und Therapie der equinen Sarkoidose und ordnet die Erkrankung im veterinärmedizinischen Kontext ein.

Artikel lesen...
Okt282025

Lebererkrankungen beim Pferd: früh erkennen, richtig handeln

Laboklin Pferd28. Oktober 2025

Hepatopathien: Ursachen, Diagnose und Therapie. Früherkennung, Behandlung und Prävention durch Fütterungs- und Weidemanagement.

Artikel lesen...
Jul72025

Haemonchus contortus bei kleinen Wiederkäuern und Neuweltkamelen

Laboklin Pferd7. Juli 2025

Haemonchus contortus: Diagnostik, Behandlung und Prophylaxe bei Schafen, Ziegen und Neuweltkamelen

Artikel lesen...
Apr32025

Pilznachweis in der Zuchthygiene – Häufigkeit und Bewertung

Laboklin Pferd3. April 2025

Zuchthygiene beim Pferd: Pilzinfektionen diagnostizieren, bewerten und therapieren.

Artikel lesen...
Okt172024

Biosicherheit bei Neuweltkamelen und Möglichkeiten für Handels- und Zuchtuntersuchungen

Laboklin Pferd17. Oktober 2024

Erfahren Sie alles über Biosicherheit bei Neuweltkamelen und wichtige Untersuchungen für Handel und Zucht. Schützen Sie Ihre Herde effektiv.

Artikel lesen...
Aug52024

Hygienemanagement in der Pferdepraxis

Laboklin Pferd5. August 2024

Ziel von Hygienemaßnahmen in Tierarztpraxen und -kliniken ist es, die Verbreitung und Übertragung von Infektionserregern zu verhindern.

Artikel lesen...
Mai132024

Ovarveränderungen der Stute: Labordiagnostische Möglichkeiten zur Abklärung

Laboklin Pferd13. Mai 2024

Erfahren Sie, wie Verhaltensänderungen und Hormonanalysen helfen, den Granulosazelltumor (GZT) bei Stuten frühzeitig zu erkennen. | LABOKLIN aktuell – Pferd

Artikel lesen...
Apr152024

Hautprobleme Pferd – hilfreiche Diagnostik aus dem Labor

Laboklin Pferd15. April 2024

Erfahren Sie, wie Sie bei Pferden Hautuntersuchungen durchführen: Anamnese, Hautgeschabsel, Trichogramm und Pilzkulturen einfach erklärt.

Artikel lesen...
Jän252024

Neues von internationalen Kongressen (2023) zur Pferdemedizin

Laboklin Pferd25. Jänner 2024

Die Autorin griff das Thema chronischer Gewichtsverlust bei adulten Pferden auf und ging hierbei insbesondere auf die „inflammatory bowl disease“ (IBD) ausführlicher ein.

Artikel lesen...
Mrz202023
Papagei

Infektionskrankheiten beim Vogel – Teil 1

LABOKLIN Vögel/Reptilien20. März 2023

Papageien, zu denen auch die beliebten Wellen- und Nymphensittiche gehören, sind häufig gehaltene Heimtiere.

Artikel lesen...
Jun82021
Laboklin: Pantherchamäleon (Furcifer pardalis), multiple Papillome

Infektiöse Hautveränderungen bei Reptilien

LABOKLIN aktuell 2021, LABOKLIN Vögel/Reptilien8. Juni 2021

Reptilien, die als Haustiere gehalten werden, werden in der Praxis häufig aufgrund unterschiedlichster Hautveränderungen vorgestellt.

Artikel lesen...
Feb152016
Laboklin: Weibliches Pantherchamäleon, ulzerierte Umfangsvermehrung am Schwanz

Einsatz der Zytologie bei Hautveränderungen von Reptilien

LABOKLIN aktuell 2016, LABOKLIN Vögel/Reptilien15. Feber 2016

Tupfer, Aspirations- und Abklatschpräparate – das minimalinvasive und schnelle Verfahren der zytologischen Untersuchung ist auch bei Reptilien geeignet.

Artikel lesen...
Load more
LABOKLIN Bad Kissingen
2026 © LABOKLIN GMBH & CO. KG | Linz | Impressum | AGB | Datenschutz | FAQ
Go to Top
Accessibility Adjustments

Powered by OneTap

Barrierefreiheitserklärung für LABOKLIN GmbH & Co. KG

Bei LABOKLIN GmbH & Co. KG setzen wir uns dafür ein, unsere digitale Präsenz so barrierefrei und inklusiv wie möglich zu gestalten – für alle Nutzer, einschließlich Menschen mit Behinderungen. Unser Ziel ist es, die Benutzerfreundlichkeit von www.laboklin.com zu verbessern und ein barrierefreies Erlebnis für alle zu unterstützen, unabhängig von ihren Fähigkeiten oder den verwendeten Technologien.

Unser Ansatz zur Barrierefreiheit

Wir orientieren uns an den Web Content Accessibility Guidelines (WCAG), die international anerkannte Standards für digitale Barrierefreiheit definieren. Auch wenn eine vollständige Konformität nicht immer garantiert werden kann, streben wir an, Verbesserungen umzusetzen, wo dies möglich ist, und überprüfen regelmäßig barrierebezogene Aspekte unserer Website. Barrierefreiheit ist ein fortlaufender Prozess, und wir sind bestrebt, das Nutzererlebnis kontinuierlich zu verbessern, während sich Technologien, Standards und Nutzerbedürfnisse weiterentwickeln.

Barrierefreiheitsfunktionen

Um die Barrierefreiheit zu unterstützen, kann www.laboklin.com Tools wie die OneTap-Barrierefreiheitstoolleiste verwenden. Diese Benutzeroberfläche bietet eine Reihe hilfreicher Funktionen, darunter:
  • Anpassbare Textgröße und Kontrasteinstellungen
  • Hervorhebung von Links und Text zur besseren Sichtbarkeit
  • Vollständige Tastaturnavigation der Toolleisten-Oberfläche
  • Schnellstart über Tastenkombination: Alt + . (Windows) oder ⌘ + . (Mac)
Bitte beachten Sie Folgendes:
  • Die Verfügbarkeit und Wirksamkeit dieser Funktionen hängen von der Konfiguration und laufenden Wartung der Website ab.
  • Auch wenn wir bestrebt sind, Barrierefreiheit zu gewährleisten, können wir nicht garantieren, dass jeder Teil von www.laboklin.com jederzeit vollständig barrierefrei ist. Einige Inhalte können von Dritten bereitgestellt werden oder durch technische Einschränkungen außerhalb unserer Kontrolle beeinflusst sein.

Feedback und Kontakt

Wir freuen uns über Ihr Feedback. Wenn Sie auf Barrieren stoßen oder Verbesserungsvorschläge haben, kontaktieren Sie uns bitte: E-Mail: website@laboklin.com Wir sind bestrebt, alle Anfragen zu prüfen und innerhalb von 3–5 Werktagen zu antworten. Wenn Sie Unterstützung beim Zugriff auf Teile dieser Website benötigen, stellen wir auf Anfrage gerne alternative Zugangswege bereit. Letzte Aktualisierung: 29. Juli 2025
How long do you want to hide the toolbar?
Hide Toolbar Duration
Select your accessibility profile
Vision Impaired Mode
Enhances website's visuals
Seizure Safe Profile
Clear flashes & reduces color
ADHD Friendly Mode
Focused browsing, distraction-free
Blindness Mode
Reduces distractions, improves focus
Epilepsy Safe Mode
Dims colors and stops blinking
Content Modules
Font Size

Default

Line Height

Default

Color Modules
Orientation Modules
LABOKLIN Bad Kissingen
Cookie-Zustimmung verwalten
Um dir ein optimales Erlebnis zu bieten, verwenden wir Technologien wie Cookies, um Geräteinformationen zu speichern und/oder darauf zuzugreifen. Wenn du diesen Technologien zustimmst, können wir Daten wie das Surfverhalten oder eindeutige IDs auf dieser Website verarbeiten. Wenn du deine Zustimmung nicht erteilst oder zurückziehst, können bestimmte Merkmale und Funktionen beeinträchtigt werden.
Funktional Immer aktiv
Die technische Speicherung oder der Zugang ist unbedingt erforderlich für den rechtmäßigen Zweck, die Nutzung eines bestimmten Dienstes zu ermöglichen, der vom Teilnehmer oder Nutzer ausdrücklich gewünscht wird, oder für den alleinigen Zweck, die Übertragung einer Nachricht über ein elektronisches Kommunikationsnetz durchzuführen.
Vorlieben
Die technische Speicherung oder der Zugriff ist für den rechtmäßigen Zweck der Speicherung von Präferenzen erforderlich, die nicht vom Abonnenten oder Benutzer angefordert wurden.
Statistiken
Die technische Speicherung oder der Zugriff, der ausschließlich zu statistischen Zwecken erfolgt. Die technische Speicherung oder der Zugriff, der ausschließlich zu anonymen statistischen Zwecken verwendet wird. Ohne eine Vorladung, die freiwillige Zustimmung deines Internetdienstanbieters oder zusätzliche Aufzeichnungen von Dritten können die zu diesem Zweck gespeicherten oder abgerufenen Informationen allein in der Regel nicht dazu verwendet werden, dich zu identifizieren.
Marketing
Die technische Speicherung oder der Zugriff ist erforderlich, um Nutzerprofile zu erstellen, um Werbung zu versenden oder um den Nutzer auf einer Website oder über mehrere Websites hinweg zu ähnlichen Marketingzwecken zu verfolgen.
  • Optionen verwalten
  • Dienste verwalten
  • Verwalten von {vendor_count}-Lieferanten
  • Lese mehr über diese Zwecke
Einstellungen ansehen
  • {title}
  • {title}
  • {title}