Laut einer Umfrage des Industrieverbandes Heimtierbedarf von 2020 leben 5 Mio. kleine Heimtiere in 5 % aller Haushalte in Deutschland. Ein wichtiger Vertreter dieser Tiergruppe ist das Meerschweinchen. Ursprünglich stammen die Tiere aus Südamerika, wurden aber bereits im 16. Jahrhundert von spanischen Seefahrern mit nach Europa gebracht.
In seiner ursprünglichen Heimat dient es als Nutztier der Fleischproduktion. In Mitteleuropa dagegen wird das Hausmeerschweinchen als Heimtier gehalten. In der Heimtierhaltung erreichen die Meerschweinchen häufig ein höheres Lebensalter als in der freien Wildbahn. Dies führt zwangsläufig zu Erkrankungen, die adulte und ältere Tiere betreffen, wie z. B. Tumorerkrankungen.
Zu spontanen Tumoren, die bei Meerschweinchen auftreten, gibt es nur wenige Übersichtsartikel (Dobromylskyj et al., 2023). Die Akzeptanz der Tierbesitzer, die Tiere im Falle eines Krankheitsgeschehens untersuchen und auch therapieren zu lassen, ist in den letzten Jahren jedoch gestiegen. Um einen Überblick darüber zu erhalten, welche Tumoren bei den Meerschweinchen eine Rolle spielen, wurden aus dem Einsendungsgut von Laboklin die Tumoreinsendungen aus den Jahren 2013 bis 2020 ausgewertet. Einschlusskriterien waren die Angabe der Tumorlokalisation und die Proben, bei denen eine eindeutige Diagnosestellung möglich war. Im untersuchten Zeitraum trafen diese Kriterien auf 1017 Tumoren zu.
Im Folgenden wird näher darauf eingegangen aus welchen Lokalisationen diese Tumoren stammen, welche Tumoren häufig diagnostiziert wurden, ob gutartige oder bösartige Neoplasien dominierten und welche ungewöhnlichen Tumoren bei diesen Tieren auftraten.
Tumorlokalisationen
Die eingesandten Tumoren stammten aus unterschiedlichsten Lokalisationen, wobei die Tumoren der (Unter-)Haut am häufigsten zur Einsendung gelangten. Es folgten Tumoren aus dem Bereich des Mammadrüsengewebes, des Uterus und des lymphatischen Gewebes. Auch Schilddrüsentumoren waren vertreten. Neoplastische Veränderungen anderer Organe gelangten sehr viel seltener zur Einsendung (Abb. 1). Da Tumoren im Bereich der Haut und Unterhaut den Besitzern beim Handling und der Pflege der Tiere auffallen, ist dies vermutlich mit ein Grund, dass Neoplasien dieser Lokalisation am häufigsten zur Einsendung gelangten, während mögliche Prozesse innerer Organe dem Besitzer nicht zwangsläufig auffallen müssen, bzw. aufwendigere Operationen nötig machen würden.
Tumordiagnosen
In dem Einsendungsgut lag das Lipom als häufigste Tumordiagnose beim Meerschweinchen an erster Stelle. An zweiter Stelle folgten die Haarfollikeltumoren. Zahlreiche weitere Tumordiagnosen konnten gestellt werden (Abb. 2). Da als Entnahmelokalisation die Haut und Unterhaut dominierten, ist es nicht verwunderlich, dass besonders die Fettgewebstumoren und die Haarfollikeltumoren als Diagnosen an erster Stelle standen.
Häufigkeit von gutartigen/bösartigen Tumoren
Um einen besseren Überblick über das Verhältnis von gutartigen zu bösartigen Tumoren zu erhalten, wurde dies in der nachfolgenden Abbildung schematisch für die am häufigsten eingesandten Tumoren aufgezeigt (Abb.3).
Die am häufigsten auftretenden mesenchymalen und epithelialen (Unter-)Hauttumoren wurden im Weiteren noch näher aufgeschlüsselt, um einen besseren Überblick zu erhalten und zu beurteilen, ob benigne oder maligne Neoplasien dominierten.
Mesenchymale (Unter-)Hauttumoren
Beim Meerschweinchen dominierten die mesenchymalen Tumoren in der (Unter-)Haut. Es wurden insgesamt 508 mesenchymale Tumoren diagnostiziert, davon waren 365 gutartig und 143 Neoplasien wurden als maligne eingestuft. Die Tumoren teilten sich auf in 325 Lipome, 13 Fibrome, 13 Fibrolipome und 6 Hämangiome. Weitere 8 benigne Tumoren wurden diagnostiziert. Weiterhin wurden 80 Sarkome eingesandt (keine eindeutige Bestimmung der Ursprungszellpopulation möglich). Es wurden 29 Fibrosarkome, 24 Liposarkome (Abb. 4) und 10 sonstige maligne mesenchymale Neoplasien diagnostiziert.
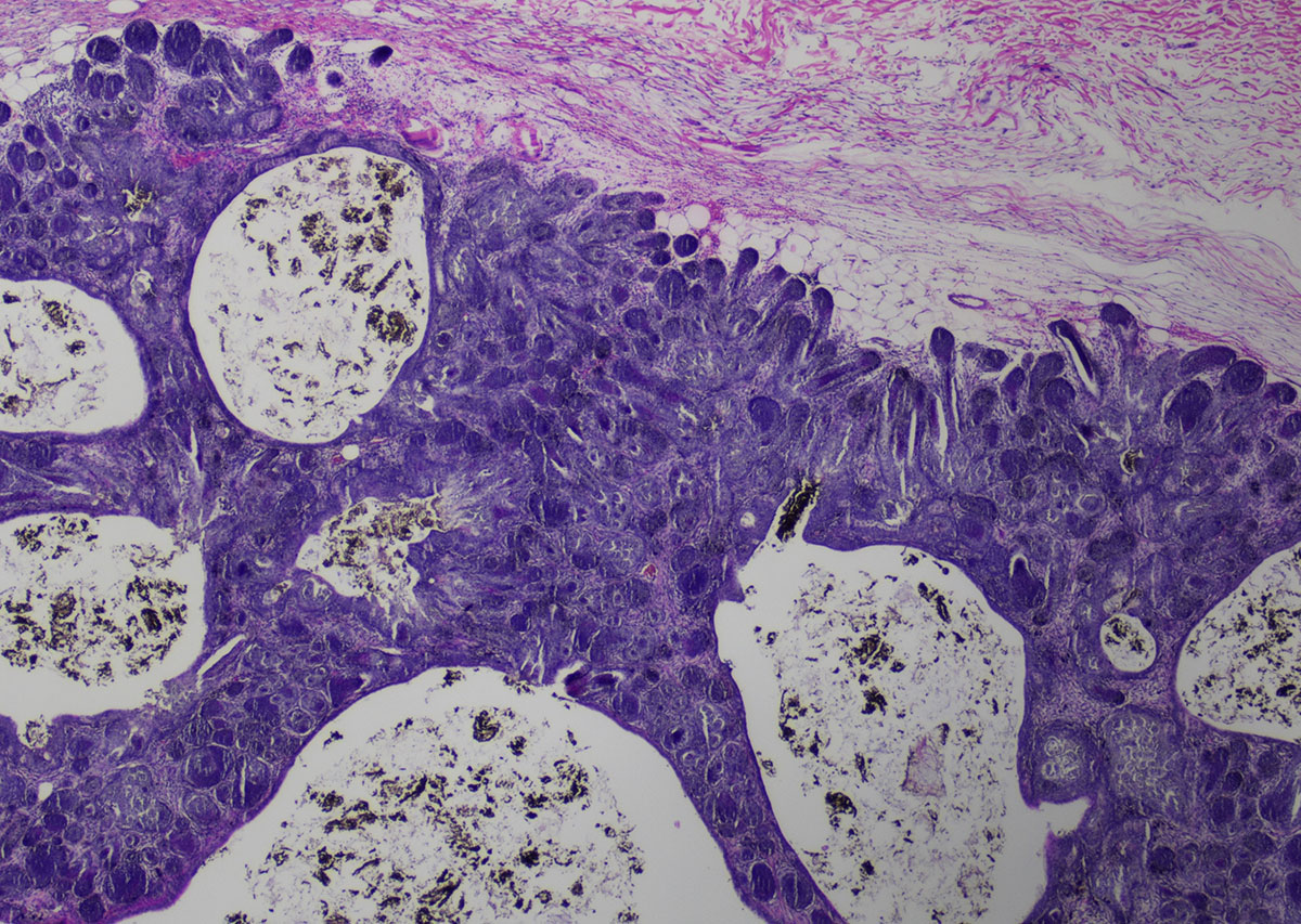
Epitheliale (Unter-)Hauttumoren
Insgesamt wurden 157 epitheliale Tumoren eingesandt. Davon waren 142 gutartig und 15 bösartig. Es wurden 124 Trichofollikulome (Abb. 5), 5 Trichoepitheliome, 3 Pilomatrixome, 3 Adenome und 7 sonstige benigne Neoplasien diagnostiziert. Ferner wurden 5 Adenokarzinome, 5 nicht näher bestimmbare Karzinome, 3 Plattenepithelkarzinome und 2 Talgdrüsenkarzinome beschrieben.
Als weitere (Unter-)Hauttumoren wurden 11 kutane Lymphome, 3 Melanome, 1 Fibropapillom und 1 Karzinosarkom diagnostiziert.
Lymphome
Lymphome treten auch beim Meerschweinchen regelmäßig auf. Beschrieben ist beim Meerschweinchen, neben dem Lymphom, auch eine Leukämieform. Bei der Leukämie sind besonders jung-adulte Tiere (unter 3 Jahren) betroffen. Die Tiere versterben in der Regel innerhalb weniger Wochen.
Die in diese Untersuchung einbezogenen 46 Lymphome waren überwiegend in den Lymphknoten (n=31), aber auch in der Haut (n=11), in inneren Organen (n=3) und im Auge (n=1) lokalisiert.
-
Abb. 1: Tumorlokalisationen beim Meerschweinchen im Einsendungsgut von Laboklin (2013–2020)
Bildquelle: Laboklin
-
Abb. 2: Tumordiagnosen beim Meerschweinchen im Einsendungsgut von Laboklin (2013–2020) *NOS: not otherwise specified.
Bildquelle: Laboklin
-
Abb. 3: Verteilung benigne/maligne Tumoren in den häufig eingesandten Entnahmelokalisationen
Bildquelle: Laboklin
-
Abb. 4: Liposarkom (HE-Färbung, 100fache Vergrößerung)
Bildquelle: Laboklin
-
Abb. 5: Trichofollikulom (HE-Färbung, 20fache Vergrößerung)
Bildquelle: Laboklin
-
Abb. 6: Klinisches Bild, weibl. Meerschweinchen: ulzerativ-krustöse Umfangsvermehrungen bei einem kutanen epitheliotropen Lymphom
Bildquelle: © Kleintierpraxis Dr. G. Raila
Die Sonderform eines kutanen Lymphoms stellt das kutane epitheliotrope Lymphom (syn. Mycosis fungoides) dar. Es handelt sich dabei um eine progressiv fortschreitende Tumorerkrankung, mit charakteristischer Infiltration von tumorösen T-Lymphozyten (T-Gedächtniszellen) in die Epidermis und die Adnexen (Moore, P.F. und Olivry, T., 1994). Die Ätiologie dieser Erkrankung ist noch nicht vollständig geklärt. Diese Form des Lymphoms tritt auch beim Meerschweinchen auf und wird anfänglich häufig nicht als Tumorerkrankung erkannt. Klinisch können Erytheme, Alopezie und eine Schuppenbildung vorliegen. Daher wird häufig erst eine Hauterkrankung vermutet. Erst im weiteren Verlauf der Erkrankung können sich knotige Umfangsvermehrungen entwickeln (Abb. 6).
Mammatumoren
Mammatumoren treten, im Gegensatz zu anderen Tierarten, auch beim männlichen Meerschweinchen (Tab. 1) regelmäßig auf (Schöniger et al., 2025). Im Untersuchungszeitraum gelangten 157 Tumoren zur Einsendung. Davon stammten 75 Tumoren von weiblichen Tieren und 58 Neoplasien von männlichen Tieren. Bei 24 Tieren war das Geschlecht nicht bekannt. Es wurden 78 Adenome, 7 Fibroadenome, 71 Adenokarzinome und 1 undifferenziertes Karzinom diagnostiziert.
Tab. 1: Verteilung der Mammatumoren nach Geschlecht
| Diagnose | Anzahl | W | WK | M | MK | U |
| Insgesamt | 157 | 74 | 1 | 44 | 14 | 24 |
| Benigne | 85 | 47 | – | 17 | 7 | 14 |
| Maligne | 72 | 27 | 1 | 27 | 7 | 10 |
Legende: W: weiblich, WK: weiblich kastriert, M: männlich, MK: männlich kastriert, U: Geschlecht unbekannt.
Uterustumoren
Im Gegensatz zu Kaninchen zeigen Meerschweinchen eine Bandbreite unterschiedlichster Uterusveränderungen. Diese können nicht-neoplastisch/ proliferativ sein. Es können einfache benigne oder maligne Tumoren auftreten. Es können aber auch Mischtumoren diagnostiziert werden (Laik-Schandelmaier et al., 2017). Im Zeitraum von 2013 bis 2020 wurden 60 Tumoren aus dem Bereich des Uterus eingesandt. Davon waren 37 Neoplasien benigne und 23 maligne. Die Tumoren konnten in 28 epitheliale, 27 mesenchymale und 5 Mischtumoren unterteilt werden. Bei den epithelialen Veränderungen dominierten 19 Adenome über 9 Adenokarzinome. Ferner fanden sich 17 Leiomyome, 8 Leiomyosarkome und 2 nicht näher differenzierbare Sarkome bei den mesenchymalen Neoplasien. Im Gegensatz dazu war nur ein Mischtumor benigne, während 4 maligne Mischtumoren diagnostiziert wurden.
Schilddrüsentumoren
Im Gegensatz zu anderen Kleinsäugern, zeigen Meerschweinchen häufig auch Schilddrüsentumoren. Im untersuchten Zeitraum wurden 15 Adenome und 14 Karzinome diagnostiziert.
Fazit
In der vorliegenden Studie über spontane Tumoren beim Meerschweinchen dominierten die gutartigen Neoplasien der (Unter-)Haut. Das Lipom ist der weitaus häufigste Tumor, gefolgt vom Trichofollikulom.
Kutane epitheliotrope Lymphome können klinisch schwierig von entzündlichen Hauterkrankungen zu unterscheiden sein.
Mammatumoren treten sowohl bei weiblichen als auch bei männlichen Meerschweinchen auf. Kastrierte weibliche und kastrierte männliche Tiere waren in der Studie weniger häufig betroffen als intakte Meerschweinchen.
Die Pathohistologie stellt eine wichtige Untersuchung zur prognostischen Einschätzung von Umfangsvermehrungen dar, denn besonders Neoplasien der Mamma, des Uterus und der Schilddrüse können sowohl benigne als auch maligne sein.
Diese Untersuchung hat gezeigt, dass eine Tumorerkrankung beim Meerschweinchen nicht zwangsläufig das Todesurteil für das Tier bedeuten muss. In einer Vielzahl von Fällen liegt ein gutartiges Geschehen zugrunde, welches bei rechtzeitiger Vorstellung beim Tierarzt und der Entfernung der Umfangsvermehrung ein unbeschwertes Weiterleben des Tieres ermöglicht.
Dr. Claudia Schandelmaier
Leistungen zum Thema
- Pathohistologie
- Zytologie









