Parvoviren spielen bei verschiedenen Tierarten als Infektionserreger eine bedeutende Rolle. Es handelt sich um kleine, unbehüllte Viren mit einem linearen, einzelsträngigen DNS-Genom. Sie halten sich sehr stabil in der Umgebung und können, insbesondere in größeren Haltungen wie Tierheimen und Zuchten, zu hohen Tierverlusten führen (Muzyczka und Berns, 2001; Decaro und Buonavoglia, 2012).
Die Familie der Parvoviridae umfasst nach aktuellem Stand drei Unterfamilien, wobei die Unterfamilie der Parvovirinae die für Vertebraten wichtigen Genera umfasst. Innerhalb dieser Unterfamilie finden sich aktuell 10 Genera: Amdoparvovirus, Artiparvovirus, Aveparvovirus, Bocaparvovirus, Copiparvovirus, Dependoparvovirus, Erythroparvovirus, Loriparvovirus, Protoparvovirus und Tetraparvovirus. Die für Hunde und Katzen hauptsächlich relevanten Vertreter finden sich in den Genera Bocaparvovirus und Protoparvovirus (ICTV, 2022). Nachfolgend sind einige wichtige Parvoviren und ihre Krankheitsbilder bei Hund und Katze dargestellt.
Canine Parvoviren
Protoparvovirus bei Hunden
Der bekannteste Vertreter der Protoparvoviren ist das canine Parvovirus 2 (CPV-2), das in den 1970ern bei Hunden als Hauptverursacher viraler Enteritiden identifiziert wurde (Cooper et al., 1979). Das Virus wurde weltweit endemisch und mittlerweile sind mehrere Virusstämme bekannt, die vor allem bei jungen Hunden zu Erkrankungen führen (Hoelzer und Parrish, 2010; Decaro et al., 2020).
-
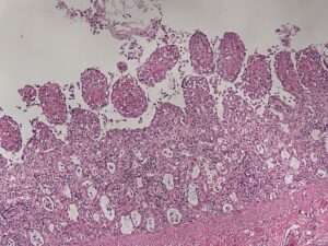
Abb. 1: Dünndarm: deutliche Zottenatrophie und -fusion mit Nekrosen der Kryptenepithelien (HE-Färbung)
Bildquelle: Laboklin
-
Abb. 2: Dünndarm: immunhistologischer Nachweis von Parvovirus-Antigen
Bildquelle: Laboklin
Pathogenese
Welpen immunisierter Hündinnen sind in der Regel durch die Aufnahme maternaler Antikörper aus dem Kolostrum für ca. 2 bis 3 Monate vor einer Parvovirose geschützt. Eine zu frühe Impfung kann daher von maternalen Antikörpern neutralisiert werden, sodass der
Zeitpunkt der Impfung und das verwendete Impfschema wichtig sind (Decaro et al., 2020). Das CPV-2 wird fäkal-oral aufgenommen und die ersten klinischen Symptome zeigen sich in der Regel nach einer Inkubationszeit von 4 – 14 Tagen. Das Virus repliziert sich nach der Aufnahme zunächst im lokalen lymphatischen Gewebe des Oropharynx. Dann folgt eine Virämie (Sykes, 2014). Das CPV-2 dringt über den Transferrin-Rezeptor in Zellen mit hoher Teilungsrate ein (Parker et al., 2001), wie sie sich besonders im Darm (intestinale Krypten) und in lymphatischen Organen wie Thymus, Lymphknoten und Knochenmark finden (Sykes, 2014; Mylonakis et al., 2016).
Pathologische Veränderungen
Histologisch findet man klassische Läsionen wie Nekrosen der Kryptenepithelien, verkürzte und atrophierte Zotten (Abbildung 1), Riesenzellbildung als ein Anzeichen für Kryptenregeneration und lymphatische Depletionen. Teilweise können auch intranukleäre Viruseinschlusskörperchen beobachtet werden (Carman und Povey, 1985; Decaro und Buonavoglia, 2012, Osterhaus et al., 1980).
Klinik
Klinisch zeigen sich bei der caninen Parvovirose daher insbesondere Gastroenteritiden mit hämorrhagischen Durchfällen und Erbrechen. Zusätzlich treten häufig auch Fieber und Anorexie sowie eine Dehydratation auf, die bis zum Tod führen kann. Die Depletion von lymphatischem Gewebe kann zudem sekundäre systemische Bakteriämien begünstigen, die fatal verlaufen können. Weiterhin wird aufgrund direkter Lymphozytolyse oft eine Lymphopenie beobachtet (Mazzaferro, 2020). Ein weiteres Erkrankungsbild, das vor allem bei sehr jungen Hunden auftritt, stellt die Myokarditis dar (Hayes et al., 1979).
Nachweis, Differentialdiagnosen und Therapie
Die Diagnose einer Parvovirusinfektion kann im Verdachtsfall anhand des Nachweises von Viruspartikeln in Fäzes oder Abstrichen erfolgen. Dazu stehen verschiedene Möglichkeiten zur Verfügung, insbesondere ELISA und PCR oder die eher in speziellen, oft forschungsorientierten Laboren möglichen Techniken wie Elektronenmikroskopie, Hämagglutination und Virusisolation. Auch eine immunhistologische Untersuchung auf Parvovirus-Antigen ist in einigen Laboren möglich (Abbildung 2). Die PCR stellt eine sehr sensitive und spezifische Nachweismethode dar, während ein ELISA häufig schon in der Klinik zum Einsatz kommt (Mazzaferro, 2020). Zum Parvovirusnachweis mittels PCR können Fäzes, EDTA-Blut oder Gewebe eingesandt werden. Nach einer Impfung mit Lebendimpfstoff kann die PCR bis zu 4 Wochen positiv ausfallen. Zur Parvovirus-Antigen-Bestimmung kann Fäzes eingeschickt werden. Hier ist ein positives Ergebnis 5 – 12 Tage nach einer Impfung mit Lebendimpfstoff möglich.
Differentialdiagnostisch sollten insbesondere andere Viren, Bakterien, Endoparasiten, aber auch Futtermittelunverträglichkeiten oder fütterungsassoziierte Faktoren, Intoxikationen, Fremdkörper, Pankreatitiden, Hypoadrenokortizismus oder IBD (inflammatory bowel disease) bedacht werden (Sykes, 2014).
Therapeutisch empfiehlt sich vor allem eine symptomatische Therapie. Bei schwerwiegenden Verläufen infolge einer sekundären Bakteriämie sollte die Therapie mit einer Antibiose gekoppelt sein. In einigen Fällen wird auch eine Analgesie empfohlen (Mazzaferro, 2020). Die wichtigste präventive Maßnahme gegen die canine Parvovirose ist die Impfung (Decaro et al., 2020). Weiterhin müssen nach Ausbrüchen wirksame Desinfektionsmittel eingesetzt und infizierte Tiere von gesunden isoliert werden (Sykes, 2014).
Neben dem eher „typischen“ und bekannten Bild ist das CPV-2 aber auch im Zusammenhang mit anderen Krankheitsbildern beschrieben. Dazu gehören unter anderem Myokarditiden, Hepatitiden, chronische Immunkomplex- Erkrankungen und Meningoenzephalitiden (Berns und Parrish, 2007). Das canine Parvoviren und das feline Panleukopenievirus immer wieder in Neuronen nachgewiesen werden, wird schon länger über eine mögliche Replikation in Neuronen diskutiert (Garigliany et al., 2016; Schaudien et al., 2010).
Bocaparvovirus bei Hunden
Auch im Genus Bocaparvovirus finden sich klinisch relevante Vertreter der Parvoviren wie das sogenannte Minute Virus of Canines (früher canines Parvovirus 1). Es wird im Zusammenhang mit respiratorischen Erkrankungen bei jungen Hunden, mit Aborten und seltener mit Diarrhö beschrieben. Bei adulten Tieren verlaufen die Infektionen in der Regel subklinisch (Kapoor et al., 2012; Harrison et al., 1992). Ein weiterer Vertreter ist das canine Bocavirus 2, welches aus Hunden mit respiratorischen Erkrankungen, aber auch aus gesunden Hunden isoliert wurde. Weiterhin wurde ein Stamm beschrieben, der CPV-2 ähnliche Läsionen bei einem Wurf junger Hunde verursachte (Bodewes, 2014).
Das canine Bocavirus 3 wurde in der Leber eines Hundes gefunden, der zusätzlich mit einem neuartigen Circovirus infiziert war (Li et al., 2013).
Feline Parvoviren
Protoparvovirus bei Katzen
Das feline Panleukopenievirus (FPV) ist eng verwandt mit CPV-2 und wurde schon früher beobachtet, sodass eine Entwicklung des CPV-2 aus diesem mit angepasstem Wirtsspektrum diskutiert wird (Mazzaferro, 2020). Ähnlich dem CPV-2 erfolgt nach oraler oder intranasaler Infektion die erste Virusreplikation im Oropharynx innerhalb von 18 – 24 Stunden. Die Virämie mit Verteilung der Viren im Organismus erfolgt innerhalb von 2 Tagen bis hin zu einer Woche. Auch das FPV infiziert Zellen mit hoher Teilungsrate und geht daher mit ähnlichen Symptomen und Läsionen einher wie das CPV-2 (Stuetzer und Hartmann, 2014). Fetale oder neonatale Infektionen führen zudem zu Defekten im zentralen Nervensystem. Diese entstehen durch eine Infektion der Neuroblasten der externen Granularzellschicht während der Entwicklung des Kleinhirns, die in der späten Gestations- und frühen neonatalen Phase abläuft. Die Veränderungen können dann zu einer zerebellären Hypoplasie führen (Aeffner et al., 2006; Csiza et al., 1971; Garigliany et al., 2016; Poncelet et al., 2013). Ähnlich dem caninen Parvovirus wurde auch das FPV innerhalb von Neuronen beschrieben (Garigliany et al., 2016; Schaudien et al., 2010) wie auch bei einer jungen Katze mit Ataxie. Es fanden sich histologisch neuronale Vakuolisierungen. In diesen Neuronen wurden FPV-spezifische Nukleinsäuren und Parvovirus-Antigen nachgewiesen (Pfankuche et al., 2020).
Bocaparvovirus bei Katzen
Auch bei Katzen sind Bocaparvoviren bekannt, die, ähnlich wie bei caninen Bocaparvoviren, teils auch bei asymptomatischen Katzen isoliert werden. Eine klare Assoziation der Infektion mit enteralen oder anderen systemischen Erkrankungen ist bislang noch nicht abschließend geklärt (Piewbang et al., 2019).
Fazit
Parvoviren bei Hunden und Katzen sind sehr stabile Erreger, die insbesondere in größeren Haltungen zu Problemen führen können und nach wie vor in der Tiermedizin eine große Rolle spielen. Zudem werden immer wieder weitere Varianten entdeckt. Neben den „klassischen“ gastroenteralen Symptomen werden Parvoviren auch im Zusammenhang mit anderen Krankheitsbildern wie Myokarditiden, Hepatitiden, respiratorischen Erkrankungen, Immunkomplex-Erkrankungen, Aborten und ZNS-Störungen beschrieben. Dabei ist ihre Bedeutung noch nicht für alle Krankheitsbilder abschließend geklärt und weitere Forschung ist nötig. Eine Parvovirusinfektion sollte aber auch bei diesen Krankheitsbildern differentialdiagnostisch in Erwägung gezogen werden.
Autorin: Dr. Ph.D. Vanessa Nippold





