Übergangszell- und Prostatakarzinom
Sowohl das Übergangszell- (ÜZCa, Abb. 1) als auch das Prostatakarzinom (PCa) des Hundes sind hochmaligne Neoplasien (GRIFFIN et al. 2018). Beide Tumorarten werden oft erst verhältnismäßig spät diagnostiziert (BRYAN et al. 2007; PANTKE 2018). Die Prognose für erkrankte Hunde ist dementsprechend schlecht (CORNELL et al. 2000; HENRY 2003). Die mediane Überlebenszeit für Hunde mit ÜZCa liegt bei einem Jahr bzw. bei 30 Tagen für Hunde mit PCa (HENRY 2003; CORNELL et al. 2000). Betroffene Hunde sind im Median 11 (ÜZCa) bzw. 10 Jahre (PCa) alt (CORNELL et al. 2000; KNAPP et al. 2000). Einen zuverlässigen Screeningtest auf das Vorliegen eines ÜZCa, v.a. für Rassen mit erhöhtem genetischem Risiko (bestimmte Terrier-Rassen), gab es lange Zeit nicht.
Die BRAF-Mutation
Das Vorhandensein der aus der Humanmedizin bekannten BRAF-Variante V595E wurde 2015 erstmals von MOCHIZUKI et al. an einer Vielzahl von Tumoren des Hundes untersucht. Im Gegensatz zum Menschen, bei dem die Mutation v.a. in malignen Melanomen, Ovartumoren und kolorektalen Karzinomen vorkommt, fanden MOCHIZUKI et al. (2015) die Mutation beim Hund am häufigsten in Übergangszell- und Prostatakarzinomen. Es handelt sich hierbei um eine somatische Mutation im BRAF-Gen, die nur in den Tumorzellen auftritt. Man geht davon aus, dass diese Mutation über eine permanente Aktivierung des MAP-Kinasewegs zur Tumorentstehung führt.
Die BRAF-Mutation im kaninen Übergangszellkarzinom
In unserem Haus gelang es 2018, das Verfahren des Nachweises der BRAF-Mutation für das ÜZCa zu etablieren (AUPPERLE-LELLBACH et al. 2018). Die Spezifität lag bei 100%, da die BRAF-Mutation in keinem der Hunde mit Zystitis, Harnblasenpolyp bzw. ohne klinische und pathologische Symptomatik nachgewiesen werden konnte. Die Sensitivität des Nachweises der BRAF-Mutation im ÜZCa lag bei 71%.
Mögliche Probenmaterialien:
- Gewebe (z.B. Biopsien)
- zytologische Ausstriche (z.B. FNA)
- zellreicher Harn (Morgenurin)
In der Literatur wurde der Test bisher nur für Gewebeproben und Urin beschrieben. Im Rahmen unserer Studien gelang es zudem, ihn auch für zytologische Ausstriche von Feinnadelaspiraten und Harnsedimenten zu etablieren.
So kann eine invasive Probenentnahme durch die Untersuchung von Spontanurin vermieden werden oder in Fällen mit fraglichen pathohistologischen und zytologischen Diagnosen (schlechte Probenqualität, überlagernde Bilder einer Entzündung und Neoplasie) eine wiederholte invasive Probenentnahme umgangen werden.
Für Scottish, Fox und West Highland White Terrier ist eine Rassedisposition für das kanine ÜZCa beschrieben (FULKERSON und KNAPP 2015). In einer weiteren Studie konnte bei verschiedenen hoch- und niederläufigen Terriern auch eine Disposition für die BRAF-Mutation gezeigt werden (AUPPERLE-LELLBACH et al. 2019). Daraus ergibt sich, dass der Nachweis der BRAF-Mutation bei diesen Terrier-Rassen nicht nur hochspezifisch für das Vorliegen eines ÜZCa ist, sondern auch sehr sensitiv (Abb. 2) und als Screeningtest auf das Vorliegen eines ÜZCa einsetzbar ist.
-
Abb. 1: Sonographisches Bild der Harnblase. Eine papilläre Umfangsvermehrung ragt deutlich in das Lumen der Harnblase hinein.
Bildquelle: ©Tierklinik Rupphübel
- Abb. 2: Zusammenhang zwischen der BRAF-Mutation und der Hunderasse. Terrier wiesen in Übergangszellkarzinomen signifikant häufiger die BRAF-Mutation auf als andere Rassen.
- Abb. 3: Zytologisches Bild eines Prostatakarzinoms mit Prostatitis: zahlreiche, teils degenerierte neutrophile Granulozyten und Verbände von pleomorphen Prostataepithelzellen mit großen, unterschiedlich geformten Zellkernen (Haema-Schnellfärbung, bar = 25 μm)
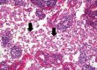
- Abb. 4: Histologisches Bild eines hochaggressiven, infiltrativ wachsenden tubulopapilliformen Prostatakarzinoms (Gleason Pattern 3, Score Summe 8, bar = 100 μm)
Eine Geschlechts- oder Altersdisposition für die BRAF-Mutation konnte in dieser Studie nicht gezeigt werden. Auch fand sich kein Zusammenhang zwischen dem Nachweis der BRAF-Mutation und der Invasivität bzw. Aggressivität im ÜZCa des Hundes (GRASSINGER et al. 2019).
Karzinome der Nierentubuli wiesen in einer kleinen Studie (n=10) keine BRAF-Mutation auf. Aber zwei von sechs Karzinomen des Übergangsepithels des Nierenbeckens waren positiv (AUPPERLE-LELLBACH et al. 2019).
Die BRAF-Mutation im Prostatakarzinom (PCa) des Hundes
Auch für das PCa (Abb. 3) des Hundes konnte der Nachweis der BRAF-Mutation aus verschiedenen Materialien etabliert werden (GRASSINGER et al. 2019).
Mögliche Probenmaterialien:
- Gewebe (z.B. Biopsien)
- zytologische Ausstriche (z.B. FNA)
Die Spezifität lag ebenfalls bei 100%, da die Mutation weder in Proben mit benigner Prostatahyperplasie, Plattenepithelmetaplasie, Atrophie der Prostata noch in normalem Prostatagewebe nachgewiesen werden konnte.
Die Sensitivität des Nachweises der BRAF-Mutation für das PCa des Hundes lag bei einem Wert von 61%.
Durch die BRAF-Mutation verursachte Prostatakarzinome waren, basierend auf einem histologischen Score (Abb. 4), deutlich aggressiver als solche, die nicht durch diese Mutation bedingt waren (GRASSINGER et al. 2019).
Fazit
Die Untersuchung auf die BRAF-Mutation ist ein hochspezifisches Verfahren (100%) für den Nachweis kaniner Übergangszell- und Prostatakarzinome.
Die Sensitivität variiert jedoch in Abhängigkeit von der Lokalisation (Niere, Harnblase, Urethra, Prostata) und ggf. der Rasse:
Übergangszellkarzinome:
86% hoch- und niederläufige Terrier
44% andere Rassen
Prostatakarzinome: 60%
Indikationen für die BRAF-Untersuchung sind die Fälle, in denen
- eine invasive Probenentnahme vermieden werden soll,
- das zytologische/histologische Ergebnis nicht eindeutig ist.
Nur das positive Ergebnis ist beweisend für ein Karzinom.
Falls keine BRAF-Mutation in der Probe nachweisbar ist, kann das folgende Gründe haben:
- Es liegt kein ÜZCa / PCa vor (z.B. Polyp, benigne Hyperplasie).
- Das Karzinom ist nicht durch die BRAF-Genmutation verursacht.
- Es sind keine mutierten Zellen in der Probe vorhanden, obwohl ein Karzinom vorliegt (Repräsentativität der Probe, zellarme Zytologie / Harn).
BRAF-Mutationen im Harnblasenkarzinom der Katze
Wir haben Biopsien von 25 Katzen mit ÜZCa (n=19), Harnblasenpolyp (n=2) oder Zystitis (n=4) auf das Vorliegen einer BRAF-Mutation untersucht (HOHLOCH et al. 2019). In keinem Fall wurde die Mutation nachgewiesen!
Die BRAF-Mutationsanalyse ist also nicht für die Diagnostik der Übergangszellkarzinome bei der Katze geeignet.
10 / 2019
LABOKLIN Aktuell







