Lebererkrankungen sind ein häufig auftretendes Problem bei Pferden. Nicht selten zeigen sich Auffälligkeiten in den Leberenzymaktivitäten als Zufallsbefund oder können auch bei unspezifischer Symptomatik eines Patienten festgestellt werden. Bei einer Auswertung von 817 Serumproben, die im Herbst 2023 bei Laboklin untersucht wurden, hatten knapp 20 % der Tiere mgr. erhöhte γ-GT-Werte im Bereich von 50 bis 150 U/l. In fast 7 % der Fälle wurden zudem erhöhte Serumgallensäuren über 12 µmol/l festgestellt. Um die Ursache der Veränderungen zu finden ist es wichtig, die Werte passend zu interpretieren und ggf. weitere Diagnostik einzuleiten.
Einleitung
Die Leber hat viele verschiedene Funktionen. Zu diesen zählen unter anderem die Verstoffwechselung von Proteinen, Kohlenhydraten und Fetten, die Produktion von Gerinnungsfaktoren und Gallenflüssigkeit, ebenso wie die Synthese und Speicherung von Vitaminen und die Ausscheidung von Stoffwechselprodukten, Toxinen und Medikamenten. Bedingt durch ihre vielseitige Funktion ist die Leber verschiedenen Noxen ausgesetzt, welche zu ihrer Schädigung führen können.
-
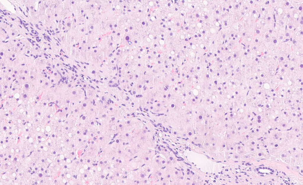
Abb. 1: Leberbiopsie eines Pferdes mit längerfristiger Aufnahme von Mykotoxinen und mutmaßlich Giftpflanzen: gering- bis mittelgradige Fibrose.
Bildquelle: Laboklin
Klinische Symptomatik von Lebererkrankungen
Ein Großteil der Lebererkrankungen verläuft subklinisch. Dies ist auf die besondere Fähigkeit der Leber zur Zellregeneration zurückzuführen. Erst wenn der Funktionsverlust der Hepatozyten größer ist als ihre Regenerationsrate, droht ein Leberversagen. Damit ist erst ab einer Schädigung von ca. 80 % des Organs zu rechnen. Umso wichtiger ist ein frühes Einordnen von unspezifischen Symptomen wie Lethargie, Inappetenz, ikterischen Skleren und Schleimhäuten, Gewichtsverlust, Leistungsabfall oder Kolikepisoden. Bei früher Diagnose hat eine milde Hepatopathie eine gute Prognose.
Schwerwiegendere Anzeichen sind: hepatoenzephales Syndrom, hepatokutanes Syndrom, Blutungsneigung, Photosensitivität und Diarrhoe.
Diagnostik
Die labordiagnostische Abklärung von Lebererkrankungen beim Pferd basiert primär auf der Interpretation leberspezifischer Enzymaktivitäten und Funktionsparametern im Serum. Ergänzend liefern weitere Laborwerte wertvolle Hinweise auf das Ausmaß der Leberschädigung sowie auf mögliche zugrunde liegende systemische Erkrankungen. Oftmals sind weiterführende Untersuchungen wie die Sonografie und eine Leberbiopsie erforderlich, um die Ätiologie gezielt zu klären (Abb. 1).
Blutuntersuchung – Enzyme
Die Blutuntersuchung liefert häufig durch den Nachweis erhöhter Leberenzymaktivitäten erste Hinweise einer Erkrankung. Die Parameter werden nach ihrer Lokalisation innerhalb der Leber (hepatozellulär, biliär) unterschieden. Eine weitere Einteilung erfolgt danach, ob sie leberspezifisch oder ubiquitär vorkommen.
1. Hepatozelluläre Enzyme
a. Glutamatdehydrogenase (GLDH)
Die GLDH ist ein Enzym, das spezifisch in Hepatozyten vorkommt. Sie wird bei akuten, zellulären Leberschäden rasch ins Serum freigesetzt. Aufgrund ihrer kurzen Halbwertszeit (ca. 14 Stunden, kompletter Abfall nach 3 – 5 Tagen) eignet sie sich besonders zur Erkennung akuter hepatozellulärer Schäden und gilt als sensitivster Marker.
b. Aspartataminotransferase (AST)
Die AST ist kein leberspezifisches Enzym, da sie nicht nur in Hepatozyten sondern auch in Muskelzellen und Erythrozyten vorkommt. Eine isolierte Erhöhung sollte immer im Kontext mit GLDH, Kreatinkinase (CK) und LDH betrachtet werden.
c. Laktatdehydrogenase (LDH)
LDH ist in zahlreichen Geweben vorhanden, darunter Herz- und Skelettmuskulatur sowie Erythrozyten. Aufgrund dieser ubiquitären Verteilung ist ihre Aussagekraft für die Leberdiagnostik nur in Kombination mit anderen Enzymen sinnvoll.
2. Biliäre Enzyme
a. γ-Glutamyltransferase (γ-GT)
Die γ-GT ist ein leberspezifisches Enzym mit einer Halbwertszeit von 3 – 4 Tagen, kann in einigen Fällen aber auch noch bis zu einigen Wochen erhöht bleiben. Dieses Enzym wird vorwiegend in den Gallengangsepithelien produziert. Erhöhte Serumaktivitäten treten v. a. bei Cholestase und biliären Läsionen auf. Sie kommt auch in Niere und Pankreas vor, gilt dennoch als primär leberspezifisch. Beim Sportpferd kann eine isolierte γ-GT-Erhöhung (> 50 – 150 U/l) im Rahmen intensiver Belastung auftreten.
b. Alkalische Phosphatase (AP)
Auch die AP zeigt bei cholestatischen Prozessen erhöhte Aktivitäten, ist jedoch weniger organspezifisch, da sie auch in Knochen, Plazenta und Darm vorkommt. Bei Jungtieren ist eine erhöhte AP aufgrund des Knochenwachstums als physiologisch anzusehen.
Es ist wichtig, die Werte passend zu interpretieren, um geeignete Diagnostik folgen zu lassen oder einen Zeitpunkt für die Nachtestung zu definieren. Für das Enzym γ-GT wird bei geringer Erhöhung (Tab. 1) z. B. eine Reevaluation nach 2 – 4 Wochen, ggf. auch von zusätzlichen Partnertieren aus der Herde empfohlen, um so eine toxische oder infektiöse Ätiologie klären und den Verlauf beurteilen zu können.
Tabelle 1: Einteilung der Leberenzymerhöhung nach Grad
| Grad der Erhöhung Leberenzyme |
|
| gering | 2 – 3-facher oberer Cut-off |
| mittel | 4 – 5-facher oberer Cut-off |
| hoch | 10-facher oberer Cut-off |
Blutuntersuchung – Leberfunktion
Veränderungen im Bereich der Leberenzyme lassen nur begrenzt Rückschlüsse auf Ausprägung, Prognose oder Ätiologie einer Erkrankung zu. Ergänzende Funktionsparameter der Leber können helfen, das Ausmaß der Schädigung und die Prognose besser zu beurteilen. Als Parameter der ersten Wahl gelten hier die Gallensäuren.
1. Gallensäuren
Gallensäuren werden in den Hepatozyten gebildet, kontinuierlich ins Duodenum sezerniert und zu 90 – 95 % rückresorbiert. Bei gestörter Zellfunktion ist die Resorption reduziert oder bleibt aus, was zur Akkumulation und erhöhter Serumkonzentration führt. Werte über 25 µmol/l gelten als pathologisch und deuten bei chronischen Prozessen auf eine schlechte Prognose hin. Bei akuten Verläufen sind hohe Werte prognostisch weniger kritisch, erfordern aber engmaschige Kontrolle. Gallensäuren sind ein hoch sensitiver Marker für funktionelle Leberinsuffizienz, v. a. bei chronischen Erkrankungen.
2. Bilirubin
Bilirubin entsteht aus dem Abbau von Hämoglobin, wird in der Leber konjugiert und über die Galle ausgeschieden. Bei Werten von > 75 µmol/l ist die typische Gelbfärbung von Skleren und Schleimhäuten (Ikterus) zu sehen. Die Unterscheidung von konjugiertem und unkonjugiertem Bilirubin im Blut ermöglicht eine Einordnung der Ursache (prä-, intra-, posthepatisch). Ein konjugierter Anteil von mehr als 25 % spricht für eine hepatozelluläre oder hepatobiliäre Ursache. Bei chronischen Verläufen kann die Serumkonzentration von Bilirubin allerdings auch im Normbereich liegen.
3. Ammoniak
Ein erhöhter Ammoniakspiegel im Blut weist auf eine fortgeschrittene Leberinsuffizienz hin und kann ein hepatoenzephales Syndrom verursachen. Aufgrund der geringen Stabilität (max. 30 min) ist die Bestimmung schwer umsetzbar.
Bildgebung/Biopsie
Die Ultraschalluntersuchung der Leber ist eine hilfreiche weiterführende Diagnostik, auch wenn aufgrund der Anatomie nur ein Teil des Organs darstellbar ist. Da viele Veränderungen diffus vorliegen, kann sie dennoch wertvolle Hinweise liefern. Ein unauffälliger Befund schließt eine Lebererkrankung nicht aus. Leberbiopsien sind sinnvoll, wenn klinische Symptome und Laborwerte keine eindeutige Diagnose ermöglichen. Die Proben können für Histologie, Bakteriologie und Erregerdiagnostik mittels PCR eingesandt werden.
Ätiologie
Vergiftungen
Vergiftungen zählen zu den häufigsten Ursachen von Hepatopathien. Sie können u. a. durch Mykotoxine oder Schimmelpilze im Raufutter, Microcystine aus algenbelastetem Wasser oder übermäßige Eisenaufnahme entstehen.
Auf Weiden und im Heu sollte besonders auf Giftpflanzen geachtet werden. Obwohl Pferde sie meist meiden, kann es unter bestimmten Bedingungen (z. B. bei Jungtieren, Futtermangel, exotischen Pflanzen oder zerkleinerten Pflanzenteilen) dennoch zur Aufnahme kommen.
Senecio-Arten wie das Jakobskreuzkraut führen bereits im Frühstadium einer Intoxikation zu veränderten Leberenzymen, oft ohne klinische Symptome. Verantwortlich sind Pyrrolizidinalkaloide (PA), die bei chronischer Aufnahme eine irreversible Leberfibrose verursachen können.
Die LC-MS-Analyse aus Urin erlaubt den Nachweis von Senecionin/Senecionin-N-Oxid und zeigt eine Toxinaufnahme in den letzten Stunden bis Tagen an. Zusätzlich sollte eine Raufutteruntersuchung (z. B. bei der Landwirtschaftskammer) erfolgen.
Infektionen
Viren
Virale Hepatitiden beim Pferd sind zunehmend besser erforscht. Besonders relevant sind das equine Hepacivirus (EqHV) und das equine Parvovirus-Hepatitisvirus (EqPV-H).
EqPV-H wird mit der Theiler’s Disease in Verbindung gebracht – einer akut verlaufenden Hepatitis mit fulminanten Lebernekrosen und meist tödlichem Ausgang. Die Übertragung erfolgt vermutlich über Blutprodukte (z. B. Tetanus-Antitoxin, Stammzellpräparate, Pferdeplasma), möglicherweise auch über Vektoren. Das Virus ist weltweit verbreitet und die Seroprävalenzen in gesunden Pferdepopulationen (z. B. Deutschland, Österreich) liegen zwischen 15 % und 34,7 %, wobei nur etwa 2 % klinisch erkranken. Bei entsprechender Symptomatik sollte EqPV-H differenzialdiagnostisch berücksichtigt werden.
EqHV, 2012 erstmals beschrieben, kann akute oder chronisch-persistierende Verläufe verursachen. Symptome reichen von Gewichtsverlust, Anorexie und Ikterus bis zu neurologischen Auffälligkeiten.
Beide Viren sind im akuten Stadium per PCR in Blut oder Lebergewebe nachweisbar. Die pathohistologische Untersuchung der Leberbiopsie kann zusätzlich zur Eingrenzung von Schweregrad und Prognose des Leberschadens herangezogen werden.
Bakterien
Die bakterielle Genese einer Lebererkrankung ist selten und meist sekundär. Wenn sie aber darauf zurückzuführen ist, stellt sie sich häufig als ernstzunehmend dar. Meist handelt es sich um aufsteigende bakterielle Infektionen mit z. B. Streptococcus equi oder Staphylococcus aureus. Beim Fohlen werden Leberabszesse durch z. B. Rhodococcus equi verursacht und Jungtiere können durch Clostridium piliforme an der Tyzzer’s Disease erkranken. Klinisch zeigen sich bakterielle Hepatitiden meist durch Ikterus, Fieber und Koliksymptome. Ein Nachweis der Erreger kann aus einer Leberbiopsie erfolgen, welche sowohl mikrobiologisch als auch histologisch beurteilt werden kann. Als weitere Möglichkeit ist ein Erregernachweis mittels PCR gegeben.
Parasiten
Eine parasitäre Schädigung der Leber erfolgt durch die wandernden Stadien von z. B. Strongylus spp. und Parascaris equorum. Der große Leberegel (Fasciola hepatica) ist bei Pferden selten, tritt aber bei Weidegemeinschaften mit Wiederkäuern oder in Feuchtgebieten auf, wo sich Wasserschnecken etablieren können. Läsionen erfolgen sowohl im Leberparenchym als auch in den Gallengängen. In Verdachtsfällen kann eine Kotprobe beweisend sein, für einige Parasiten (Fasciola hepatica, kleine Strongyliden) ist die Serologie aussagekräftiger.
Fazit
Hepatopathien werden aufgrund unspezifischer Symptome und subklinischer Verläufe oft spät erkannt. Die Diagnose stützt sich auf Leberenzym- und Funktionsparameter, ergänzt durch Bildgebung und ggf. Leberbiopsie. Toxische und infektiöse Ursachen stehen im Vordergrund, Umwelt- und Fütterungsfaktoren sollten bei der Ursachensuche berücksichtigt werden. Die Therapieeffizienz wird durch regelmäßige Kontrolle der Leberenzymkonzentrationen überwacht. Eine Genesung kann allerdings Wochen bis Monate dauern. Präventiv können je nach Ätiologie der Erkrankung Futter- und Weidehygiene, sowie gezieltes Entwurmungsmanagement helfen.
Dominika Wrobel-Stratmann, Dr. Svenja Möller,
Dr. Michaela Gentil
Unsere Leistungen im Bereich der Leberdiagnostik Pferd
| Profile | Parameter | Probenmaterial |
| Leber 1 | AST, GLDH, γ-GT, Gallensäuren | Serum |
| Leber 2 | GLDH, AST, AP, γ-GT, Bilirubin gesamt, Cholesterin, Harnstof, Gallensäuren, Protein, Albumin, Globuline, Alb./Glob.-Quotient, Glucose, Na, K, Cl | Serum und NaF-Blut |
| hepatotrope Viren | PCR: equines Parvovirus, equines Hepacivirus | Serum, EDTA-Blut, Lebergewebe |
| Parasitenprofil | Flotation, SAFC, modifiziertes McMasterverfahren | Kot |
| Gerinnung | PT, PTT, Thrombinzeit, Fibrinogen | Citrat-Plasma |
| Bilirubin | gesamt und direkt | Serum, EDTA-Plasma, Heparin-Plasma |
| Einzelbestimmungen | ||
| Gallensäuren | Serum | |
| Serumproteinelektrophorese | Albumin, α-Globuline, β-Globuline, γ-Globuline, Gesamteiweiß | Serum |
| Leberegel (AK-Nachweis) | Serum | |
| kleine Strongyliden (AK-Nachweis) |
Serum | |
| Herbstzeitlose | Colchicin | Urin |
| Kreuzkraut | Senecionin, Senecionin-N-oxid | Urin |
| Bakteriologie | Aerobier, Anaerobier | Tupfer mit Medium, Gewebe (nativ) |
| Pathohistologie | Gewebe (fixiert) | |




