Verglichen mit dem Auftreten von Tumoren in anderen Organsystemen sind intraokuläre Neoplasien bei Hund und Katze relativ selten. Primäre Tumoren kommen dabei häufiger vor als metastatische Erkrankungen.
Intraokuläre Tumoren klinisch zu diagnostizieren, stellt oft eine Herausforderung dar. Im Gegensatz zu Tumoren der Haut sind Neoplasien im Auge häufig nicht ohne weiteres von außen erkennbar. Intraokuläre Massen können außerdem abhängig von den betroffenen Strukturen innerhalb des Auges verschiedene klinische Symptome verursachen, was die Diagnosestellung weiter erschwert. Infolgedessen können auch sehr kleine oder gutartige Tumoren dramatische Auswirkungen auf die Funktion des Auges haben. Verlust oder Beeinträchtigung des Sehvermögens, Gewebeschäden und die Entwicklung eines Sekundärglaukoms sind typische klinische Symptome, die die Tierbesitzerinnen und -besitzer dazu veranlassen, einen tierärztlichen Rat einzuholen. Auch wenn sich die Tumoren abhängig von der anatomischen Lokalisation im Auge unterschiedlich auswirken, stellen okuläre Neoplasien einen häufigen Grund für eine Enukleation dar.
Laut Literaturangaben sind sowohl bei Hunden als auch bei Katzen melanozytäre Tumoren die häufigsten primären intraokulären Neoplasien. Nach WHO-Klassifikation werden diese in zwei Gruppen eingeteilt: benigne Tumoren werden als Melanozytome bezeichnet, wohingegen maligne Varianten Melanome genannt werden.
Im Auge gilt die vordere Uvea als häufigste Lokalisation für die Entwicklung intraokulärer melanozytärer Tumoren bei Tieren (Abb. 1). Beim Hund sind die meisten Tumoren gutartig, während sie bei der Katze überwiegend als maligne eingestuft werden. Im Gegensatz dazu kommen melanozytäre Neoplasien der hinteren Uvea sowohl bei Hunden als auch bei Katzen selten vor und sie verhalten sich in dieser Lokalisation meist benigne.
Auf die besonderen Merkmale der beiden am häufigsten vorkommenden Entitäten bei Hund und Katze wird im Folgenden näher eingegangen.
Felines diffuses Irismelanom (FDIM)
Melanozytäre Tumoren machen 67 % aller primären okulären Neoplasien der Katze aus. Das feline diffuse Irismelanom ist die bei weitem häufigste okuläre melanozytäre Neoplasie. Limbusmelanome und atypische Melanome stellen deutlich weniger häufig diagnostizierte Varianten dar. Das FDIM kann bei Katzen jeden Alters auftreten, wobei das Durchschnittsalter bei 9,4 Jahren liegt. Eine Rasse- oder Geschlechtsprädisposition ist nicht bekannt. Es ist eine maligne Erkrankung mit einem sehr variablen klinischen Erscheinungsbild, was die Diagnosestellung in manchen Fällen schwierig macht – insbesondere in frühen Krankheitsstadien. Die Läsionen beginnen häufig als einzelne oder multiple, kleine, pigmentierte Punkte auf der Iris, welche makroskopisch als flache, schwarze Flecken erkennbar sind. Diese Flecken werden Irismelanose genannt und gelten als gutartige Vorstufen des FDIM.
Das Fortschreiten der Erkrankung ist sehr variabel und daher nicht vorhersehbar. Die Läsionen können über Monate oder sogar Jahre unverändert bleiben, während es in manchen Fällen zu einer schnellen Progression mit lokal invasivem Wachstum und einer Metastasierung innerhalb kurzer Zeit kommt. Das erschwert das klinische Management weiterhin.
-
Abb. 1: Makroskopisches Bild eines caninen Melanozytoms der
vorderen Uvea (*) mit Verdrängung der Uvea, Querschnitt; C = Cornea, L = Linse, V = Glaskörper.
Bildquelle: Laboklin
-
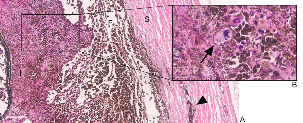
Abb. 2 A: Felines diffuses Irismelanom, Bereich Kammerwinkel (F). Die Iris (I) ist verbreitert durch zahlreiche schlecht differenzierte, mäßig pigmentierte melanozytäre Tumorzellen. Invasives Wachstum (Pfeilspitze) in die Sklera (S). HE-Färbung, 8x Vergrößerung.
Maßstab: 1 mm. B: Ausschnitt, Pfeil: atypische Mitosefigur. Umliegende Zellen zeigen mittelgradige zelluläre und nukleäre Atypien. HE-Färbung, 20fache Vergrößerung. Maßstab: 80 μm
Bildquelle: Laboklin
-
Abb. 3 A: Auge, Übersicht. Canines Melanozytom der vorderen Uvea mit Verdrängung der normalen Irisstruktur (Quadrat) und
geringgradig invasivem Wachstum in die benachbarte Sklera (Ellipse). L = Linse, C = Cornea, R = Retina. HE-Färbung, 0,6fache
Vergrößerung. Maßstab 4 mm. B: Detaillierter Ausschnitt aus
der Tumormasse. Gut differenzierte neoplastische Melanozyten, hochgradig pigmentiert, von polygonaler Form. 40fache Vergrößerung, HE-Färbung. Maßstab: 60 μm.
Bildquelle: Laboklin
Klinisch sind eine Irismelanose und frühe Stadien eines FDIM nicht unterscheidbar. Der Übergang von einer Irismelanose zum malignen FDIM kann nur mittels histologischer Untersuchung festgestellt werden. Bei der Irismelanose sind die Melanozyten ausschließlich auf die äußeren Schichten der Irisoberfläche begrenzt. Sobald eine Ausbreitung von atypischen Melanozyten ins Irisstroma erfolgt, sind die Läsionen zum FDIM fortgeschritten. In diesem Stadium können klinisch Verdickungen der Iris, Änderungen der Pupillenform (Dyskorie) und eine verminderte Beweglichkeit der Pupille beobachtet werden.
Die Erkrankung kann langsam oder schnell fortschreiten. Aktuell existiert keine gute Methode, um die Geschwindigkeit der Progression vorherzusagen, da die Faktoren, die den Krankheitsfortschritt beschleunigen, nicht bekannt sind. Bei langsamer Progression gehört zu den frühen Anzeichen eine Zunahme der Anzahl oder Größe der schwarzen Flecken in der Iris. Die Irisoberfläche erscheint dann irregulär und nicht mehr glatt. Wenn die Erkrankung weiter fortschreitet, kommt es zu lokal invasivem Wachstum in das umliegende Gewebe (Abb. 2A und B). Die Tumormassen können sich in unterschiedlichem Ausmaß in die Iris, den Kammerwinkel und den Ziliarkörper ausbreiten, in manchen Fällen ist der gesamte Augapfel mit umgebendem Gewebe betroffen. Wenn es zu einer Abflussbehinderung im Kammerwinkel kommt, funktioniert die Drainage des Augenkammerwassers nicht mehr und ein sekundäres Glaukom entsteht.
In fortgeschrittenen Fällen kann es zur Metastasierung kommen. Während intraokuläre Metastasen wahrscheinlich über die Exfoliation von Tumorzellen ins Kammerwasser entstehen, ist der wahrscheinlichste Weg für eine extra-okuläre Metastasierung die hämatogene Ausbreitung über den skleralen Venenplexus – weshalb die Invasion von Tumorzellen in den Plexus einen wichtigen Prognosefaktor darstellt. Metastasen werden am häufigsten in abdominalen Organen, insbesondere der Leber, beschrieben. Aber auch Milz, Lymphknoten, Knochen und Lunge können betroffen sein.
Daten zum metastatischen Potential sind rar. Berichte über Metastasen variieren von 19 bis 63 %. Diese Studien beziehen sich allerdings häufig auf kleine Fallzahlen oder beinhalten relativ viele bereits weit fortgeschrittene Fälle. Da die Inzidenz metastatischer Erkrankungen dadurch fälschlicherweise überschätzt werden kann, müssen solche Ergebnisse mit Vorsicht interpretiert werden. Auch wenn zwischen der Diagnose eines FDIM und Tod infolge Metastasierung mehrere Jahre liegen können, bleibt die Prognose der Erkrankung als vorsichtig einzustufen.
Negative prognostische Indikatoren für das Auftreten von Metastasen beim FDIM:
- Mitosezahl > 7/HPF (high power field)
- Invasion des skleralen Venenplexus, der Chorioidea und des umgebenden Bindegewebes
- Intratumorale Nekrose
- Sekundärglaukom
Zum jetzigen Zeitpunkt stellt die einzige Behandlungsoption die Enukleation dar. Adjuvante Therapien für metastatische Erkrankungen des FDIM, wie sie bei caninen Melanomen eingesetzt werden, stehen nicht zur Verfügung. Die Diagnose einer Irismelanose sollte mit Vorsicht interpretiert werden, da diese Läsionen recht schnell fortschreiten und bösartig werden können. Regelmäßige und gründliche klinische Nachuntersuchungen sind deshalb zu empfehlen.
Canine melanozytäre Tumoren der vorderen Uvea
Canine melanozytäre Tumoren der vorderen Uvea sind die häufigsten primären intraokulären Tumoren des Hundes. Meist sind mittelalte und alte Hunde betroffen, das Auftreten ist jedoch in jedem Alter möglich. Eine Rasse- oder Geschlechtsprädisposition ist nicht bekannt. Canine uveale melanozytäre Neoplasien werden in der Regel und im Gegensatz zum felinen diffusen Irismelanom als gutartig eingestuft. Trotz ihres generell benignen biologischen Verhaltens ist auch hier die Bezeichnung “Melanom” gängig. In Anlehnung an die WHO-Klassifikation sollten die benignen Varianten jedoch korrekterweise Melanozytom und die malignen Melanom genannt werden.
Das klinische Erscheinungsbild caniner uvealer melanozytärer Tumoren ist sehr variabel und betrifft häufig die Iris, den Ziliarkörper oder beide Strukturen. Die Chorioidea ist selten involviert. Eine lokale Tumorausbreitung führt häufig zur Glaukombildung, ähnlich wie bei der Variante der Katze. Das benigne canine Melanozytom der vorderen Uvea zeigt ein relativ einheitliches Bild, unabhängig von der exakten intraokulären Lokalisation der Tumorentstehung. Üblicherweise sind diese Tumoren hochgradig pigmentiert und zusammengesetzt aus spindeligen bis plumpen polygonalen Zellen, die nur minimale zelluläre und nukleäre Atypien aufweisen (Abb. 3B). Mitosefiguren sind selten oder kommen nicht vor.
Viele uveale Melanozytome des Hundes breiten sich entlang des corneoskleralen Netzwerks aus und wachsen in das Hornhautstroma hinein. Zusätzlich werden häufig auch die Sklera und das extrasklerale Gewebe von diesen Tumoren infiltriert (Abb. 3A).
So zeigen canine uveale Melanozytome der vorderen Uvea, obwohl sie als benigne eingestuft werden, regelmäßig lokal invasives Wachstum. Letzteres wird bei anderen Tumoren oft als Zeichen von Malignität angesehen. Berichte über eine Metastasierung gibt es bei caninen uvealen melanozytären Tumoren der vorderen Uvea jedoch nur in einem geringen Prozentsatz der Fälle, weshalb lokal invasives Wachstum hier kein zuverlässiges Kriterium für Malignität und die Unterscheidung zwischen gutartigem und bösartigem Verhalten darstellt.
Im Gegensatz dazu ist die Mitosezahl ein wichtigerer Faktor zur Bestimmung der Dignität, da eine Metastasierung besonders bei Fällen mit hoher Mitosezahl (> 4/10 HPF, high power fields) auftritt. Abgesehen von der Mitosezahl sind aktuell jedoch keine anderen histologischen Kriterien bekannt, welche ein malignes biologisches Verhalten vorhersagen könnten. Im Allgemeinen sind die zellulären und nukleären Atypien bei den seltenen malignen Varianten (Melanomen) deutlich ausgeprägt und die Tumoren sind häufig nur sehr dezent oder gar nicht pigmentiert, was wiederum die Diagnosestellung erschwert. In solchen Fällen kann zur Bestätigung des melanozytären Ursprungs der Tumorzellen eine immunhistologische Untersuchung hilfreich sein.
Fazit
Sowohl bei caninen als auch bei felinen uvealen melanozytären Tumoren ist eine Unterscheidung zwischen benignen Formen/Vorstufen und malignen uvealen Tumoren nur aufgrund der klinischen Ausprägung schwierig (Tab. 1). Katzen mit Hyperpigmentierung in der Iris sollten einer vollständigen allgemeinen klinischen und einer speziellen Augenuntersuchung unterzogen werden. Um zwischen einer Irismelanose und frühen Stadien eines felinen diffusen Irismelanoms zu unterscheiden, ist eine histologische Untersuchung erforderlich. Weiterführende bildgebende Verfahren, wie Ultraschall, CT oder MRT sind ratsam, um das Ausmaß an Invasivität und das Vorhandensein von Metastasen zu beurteilen – zumal das Metastasierungsrisiko beim felinen diffusen Irismelanom größer ist als beim caninen Melanozytom der vorderen Uvea.
Tab. 1: Überblick über die klinischen Charakteristika des felinen diffusen Irismelanoms und des caninen Melanozytoms der vorderen Uvea
| Felines diffuses Irismelanom | Canines Melanozytom der vorderen Uvea | |
| Dignität | maligne | benigne (Mehrzahl) |
| Lokal invasives Wachstum | ja, Zeichen von Malignität | ja, aber kein zuverlässiges Kriterium für Malignität |
| Metastasierungspotential | ja | nein |
| Frotschreiten der Erkrankung | sehr variabel | langsam |
| Prognose | vorsichtig | gut nach Enukleation |
Hunde mit melanozytären Tumoren der vorderen Uvea haben in den gutartigen Fällen (Melanozytome) bezogen auf die Lebenserwartung eine günstige Prognose, auch wenn die Enukleation häufig empfohlen wird.
In wenigen Fällen zeigen die Tumoren eine Mitosezahl von > 4/10 HPF, was dann zur Einstufung als Melanom führt. Melanome haben eine vorsichtige Prognose, da malignes Verhalten in Form von schnellerer Progression und Metastasierung wahrscheinlicher ist.
Zum besseren Verständnis der Faktoren und Mechanismen, die das Fortschreiten eines felinen diffusen Irismelanoms beeinflussen und das Metastasierungsrisiko bei caninen melanozytären Tumoren der vorderen Uvea präzise vorhersagen, ist weitere Forschung notwendig.
Unsere Leistungen rund um Neoplasien
- Pathohistologie
- Pathohistologie mit erhöhtem Aufwand
- Zytologie
- Immunhistologische Untersuchungen
- u. v. m.
Cynthia de Vries, DVM, Dipl. ECVP & Dr. Christina Stadler, Fachtierärztin für Pathologie






